SQLITE NOT INSTALLED
Профилактика
Не всегда возможно предотвратить появления образований в паху или рядом с ним. Однако некоторые виды образований предотвратимы.
Например, люди могут предотвратить кисты и инфекции, соблюдая правила личной гигиены. Это означает регулярное мытье и поддержание сухости в области паха, особенно после физической нагрузки.
Избегание ИППП является одним из способов предотвращения увеличения лимфатических узлов. Люди могут предотвратить ИППП, используя презервативы во время секса и ограничивая количество своих сексуальных партнеров.
Соблюдение здоровой диеты и регулярные физические упражнения могут снизить риск развития расширенных кровеносных сосудов в паху и в других местах. Поддержание умеренного веса также поможет снизить риск развития грыжи.
Причины
Существует 6 наиболее распространенных причин люмбоишалгии:
Грыжа межпозвоночного диска в поясничном отделе позвоночника.
Грыжа межпозвоночного диска возникает, когда мягкое внутреннее ядро диска (пульпозное ядро) выпячивается через фиброзное внешнее кольцо что приводит к воздействию на близлежащие нервные корешки.
Дегенеративные изменения в межпозвонковых дисках это естественный инволюционный процесс, который происходит по мере старения организма. Дегенеративные изменения в дисках могут приводить к раздражению корешков и развитию болевого синдрома.
Это состояние возникает при повреждении дужек позвонка (спондилолиз) в результате чего происходит сползание одного позвонка по отношению к другому. Смещение позвонка вызывает повреждение и смещение межпозвонкового диска, что вкупе может приводить к раздражению нервных корешков и раздражению седалищного нерва.
Стеноз позвоночного канала поясничного отдела позвоночника
Это состояние обычно вызывает воспаление седалищного нерва вследствие сужения спинномозгового канала. Стеноз позвоночного канала в поясничном отделе, чаще всего, связан с естественными инволюционными изменениями в позвоночнике и встречается у пациентов старше 60 лет. Состояние обычно возникает в результате сочетания одного или более из следующих факторов: увеличение фасеточных суставов за счет костных разрастаний, разрастание мягких тканей (связочный аппарат), и выпячивания диска (грыжи диска).
Раздражение седалищного нерва может происходить в области прохождения в ягодице под грушевидной мышцей. При наличии спазма грушевидной мышцы или других изменений в этой мышце возможно воздействие на седалищный нерв с развитием болевого синдрома. И хотя это синдром является самостоятельным заболеванием, болевые проявления в ноге могут быть схожими с люмбоишалгией.
Дисфункция крестцово-подвздошного сустава
Раздражение крестцово-подвздошного сустава также может вызвать раздражение L5 корешка, который выходит в верхней части крестцово-подвздошного сустава и при наличии проблем в этом суставе может возникать воспаление седалищного нерва и появление болей. Боль в ноге может быть аналогичной таковой, какая бывает при люмбоишалгии (пояснично-крестцовом радикулите).
Другие причины люмбоишалгии
Ряд других состояний и заболеваний могут вызвать воспаление седалищного нерва, в том числе:
- Беременность. Изменения в организме, которые происходят в организме во время беременности, в том числе вес, смещение центра тяжести и гормональные изменения, могут вызвать воспаление седалищного нерва во время беременности.
- Наличие рубцовой ткани. Если рубцовая ткань сдавливает нервные корешки, это может вызвать раздражение седалищного нерва
- Растяжение мышц. В некоторых случаях воспаление, связанное с растяжением мышц может оказать давление на нервные корешки и вызывать воспаление седалищного нерва.
- Опухоли позвоночника. Опухоль в позвоночнике ( чаще всего метастатического генеза) может оказывать компрессионное воздействие на седалищный нерв.
- Инфекции. Инфекции достаточно редко возникают в позвоночнике, но также могут быть причиной воздействия на корешки с развитием воспаления седалищного нерва.
Что делать при боли в паху
Если болит в паху, прежде всего, важна диагностика:
Обратите внимание с какой стороны болит и куда отдаёт.
Определите характер и интенсивность боли.
Обратите внимание на частоту позывов к мочеиспусканию или дефекации.
Измеряйте температуру тела (воспалительный процесс будет сопровождаться повышением температуры).
Обратите внимание на общее самочувствие, присутствие тошноты.
Измеряйте давление.
Если вы спортсмен, пересмотрите интенсивность тренировки.
Если вы женщина, обратите внимание на время появления и характер менструации.
Обязательно посетите врача в случае постоянной боли.
Запомните, резкая боль в паху является причиной для немедленного посещения доктора. Такая боль сама вряд ли пройдёт.
Тянущая боль в паху у женщин должна подтолкнуть вас к посещению гинеколога.
Боль в левом паху может говорить о грыже, защемлении нерва в пояснице, воспаленных лимфатических узлах или проблемах с кишечником, стоит посетить терапевта.
Тазовые боли у женщин
Тазовая боль у женщин — явление распространённое. В возрасте от 18-ти до 50-ти лет от неё страдают от 5 до 15% представительниц прекрасной половины человечества. Процент увеличивается до 20, когда речь идёт о пациентках, которые перенесли болезни репродуктивной системы воспалительного характера.
Причины болей в области таза могут быть разными, но чаще всего они связаны с изменениями в органах репродуктивной системы. Хроническая болевая симптоматика отличается неопределённостью и может привести к целому ряду других проблем, что, в итоге, окажет негативное влияние на качество жизни. В таблице ниже приведены основные патологии внутренних органов репродуктивной системы женщины, одним из проявлений которых являются боли в области таза.
| Заболевание | Клинические проявления | Диагностика | Лечение |
|---|---|---|---|
| Симфизит (воспалительные процессы и травмы в области лобкового симфиза, полученные во время родов) |
|
|
|
| Эндометриоз |
|
|
|
| Миоматозные узлы |
|
|
|
| Новообразования матки и шейки матки злокачественной природы |
|
|
|
Тазовые боли могут возникать при беременности вследствие естественных изменений лонного и крестцово-подзвдошного сочленений. В этот период происходит подготовка таза к родам, его «растяжение». Как правило, они появляются у тех будущих мам, у которых ранее были заболевания опорно-двигательной системы. В случае, если боли длятся долго и носят интенсивный характер, необходимо срочно обратиться за профессиональной медицинской помощью.
При неправильном подборе или установке внутриматочной спирали также могут появиться боли в области таза. Они возникают вследствие воспалительных процессов и сопровождаются отторжением спирали и интенсивным кровотечением. Менструации, сопровождающиеся интенсивной болевой симптоматикой в области таза, — следствие расстройств и ряда заболеваний органов репродуктивной системы женщины. Они сопровождаются слабостью, схваткообразными приступами боли, ощущением слабости и могут быть устранены за счёт приём анальгетиков, НПВС, гормональных средств.
Обзор
Увеличенные лимфоузлы можно прощупать под кожей в виде шишек или горошин, что нередко бывает при простуде. Однако есть и другие причины, приводящие к увеличению лимфоузлов. Некоторые из них требуют обязательного обращения к врачу.
Лимфоузлы являются частью иммунной системы и содержат лейкоциты — защитные клетки организма. Узлы расположены группами по нескольку десятков, реже — одиночно и соединены между собой лимфатическими сосудами. Обычно лимфоузлы прощупываются под подбородком или на шее, в подмышках или паху, в локтевых или подколенных сгибах — в этих местах они располагаются неглубоко под кожей. Основные скопления лимфоузлов, доступных для самообследования вы можете рассмотреть на рисунке.
Через лимфатические узлы, как через фильтр, проходит межтканевая жидкость, оттекающая от внутренних органов и кожи. Лимфоузлы задерживают и обезвреживают возбудителей инфекций (бактерии, вирусы, грибы и простейших), чужеродные частицы, попавшие в организм, а также поврежденные клетки (в том числе, раковые).
Нормальные размеры лимфатических узлов могут сильно разниться в зависимости от их расположения в организме, возраста человека, состояния иммунитета, количества перенесенных заболеваний, рода занятий и индивидуальных особенностей. Например, лимфатические узлы на шее или под нижней челюстью можно прощупать практически всегда. А узлы, находящиеся в локтевом сгибе или подколенной ямке обычно столь малы, что найти их сложно.
Во время инфекционного заражения или болезни лимфоузлы могут увеличиваться на несколько сантиметров и более. Медицинское название этого явления — лимфаденопатия. При быстром увеличении размеров возникает болезненность при прощупывании лимфоузла. В большинстве случаев эти симптомы не опасны и проходят в течение нескольких дней, но иногда требуют лечения.
Тревожными признаками, которые всегда должны настораживать, являются следующие изменения лимфоузлов:
- узел остается увеличенным в течение
нескольких недель;
- увеличение лимфоузлов только с одной
стороны;
- увеличение нескольких групп лимфатических
узлов сразу (например, шейных и паховых);
- лимфаденопатия — единственный симптом,
никаких других признаков болезни нет;
- узел теряет эластичность и становится твердым на ощупь;
- кажется, что узел спаян с окружающими тканями,
невозможно точно определить его границы;
- трудно сдвинуть кожу над лимфоузлом;
- кожа над узлом меняет цвет, становится горячей, появляется язва.
Боль в яичке: какие методики лечения существуют
В клинике «Мед Сити» представлены терапевтическое (медикаментозное), консервативное хирургическое и лазерное лечение урологических заболеваний, вызывающих болевые ощущения в мошонке.
Суть лазерного лечения – в применение светового луча на очаг воспаления с целью устранения последнего, стимуляции иммунного ответа, улучшения циркуляции крови в месте вмешательства.
При помощи лазера в «Мед Сити» проводятся такие оперативные вмешательства:
-
лазерное удаление кисты придатка яичка;
-
лазерное удаление водянки яичка;
-
оперативное лечение варикоцеле (операция Мармара);
-
протезирование яичка и другие
Односторонние боли в паху
Боль в правом паху может быть симптомом воспаленного аппендицита. Об этом будет свидетельствовать усиление боли при:
- пальпации в правой паховой области,
- положении на правом боку,
- поднятии левой ноги вверх,
- кашле и опорожнении.
Приступ аппендицита может сопровождаться чувством тошноты, рвоты и повышением температуры.
Боль в паху слева может быть симптомом почечной колики или грыжи. Такая грыжа называется паховой и возникает при выпячивании части кишок в области паха в результате ослабления мышц брюшной стенки. Сжатие грыжевого мешка вызывает резкую и интенсивную боль. Не тяните с обращением за медицинской помощью.
Почечная колика провоцирует острый приступ боли в поясничной области с отдачей в пах, ногу и мочевой пузырь. Причина болевых ощущений — камень, который раздражает слизистую мочеточника. Чтобы быстро купировать приступ и избавиться от боли, обратитесь немедленно в больницу. Возможно, понадобится специальная процедура, чтобы раздробить камень на более мелкие кусочки.
Болезни, вызывающие боль в придатках у женщин
Боли придатков появляются при таких патологических состояниях:
- Аднексит. Классическое воспаление яичников и маточных труб. При этом заболевании режущая боль сначала проецируется на поясницу. С развитием патологии поражаются соседние органы, боль распространяется на крестец, брюшную полость. При такой клинической картине выявить болевой очаг методом пальпации уже нельзя. Болевые ощущения сопровождаются затруднением мочеиспускания, ознобом, общей слабостью. Лечат аднексит медикаментозно. Хроническая форма заболевания опасна снижением выработки половых гормонов, сексуального влечения, развитием невроза и бесплодия.
- Спаечная болезнь. Это появление спаек на стенках маточных труб. С ростом спаек затрудняется проходимость фаллопиевых труб, что приводит к сбоям во время овуляции. Образование спаек провоцируют хронические воспаления, хирургические манипуляции, тяжелые роды, перенесение венерических инфекций. На раннем этапе ноющая боль возникает только после полового контакта или перед месячными. Далее болевые ощущения приобретают постоянный характер. Главная цель лечения спаечной болезни – максимальное восстановление детородной функции, поскольку часто удалить все спаечные образования невозможно.
- Киста яичника. Это доброкачественное образование. Активное увеличение кисты приводит к сдавливанию тканей, расположенных вблизи. При этом сама киста – полое образование с жидким содержимым. Разрыв кисты неизбежно приводит к перитониту, некрозу тканей брюшной полости. При кисте яичника болевые ощущения острые, усиливаются при прощупывании. Лечение патологии проводится только путем хирургического удаления кисты.
- Поликистоз яичников. Болезнь развивается в результате нарушения работы эндокринной системы. Избыток или недостаток гормонов провоцирует образование множества замерших фолликулов. Со временем фолликулы трансформируются в кисты, что приводит к давлению на соседние органы и ткани. Болезнь проявляется тянущими болями в области придатков, проблемами с зачатием, нарушением менструального цикла. Для лечения болезни применяют оперативное вмешательство малотравматичными методами.
- Синдром гиперстимуляции яичников. Возникает при лечении бесплодия гормональными препаратами. Введение гормонов провоцирует созревание в придатках сразу нескольких фолликулов. Часть из них замирает и переходит в кистозное состояние. При этом женщина жалуется на вздутие живота, увеличение веса, одышку, нарушение кровотока. Состояние гиперстимуляции стабилизируют в стационаре клиники.
- Внематочная беременность. Это экстренное состояние провоцирует сильные колющие боли в области живота. Болезненность возникает внезапно и усиливается с каждой минутой. Резкий характер болевых ощущений говорит о трубном прерывании беременности. Самоаборт при внематочной беременности приводит к разрыву трубы, обильным кровотечениям, скапливанию крови в брюшной полости. Состояние требует оперативного вмешательства хирурга, поскольку ситуация может закончиться смертью женщины.
- Раковая опухоль. Это злокачественное образование в яичниках или фаллопиевых трубах. Раннее развитие раковых клеток протекает без симптомов. Но на последней стадии раковое образование провоцирует резкие боли в придатках. Их можно спутать с болезненностью при разрыве аппендицита. Диагностировать рак яичников можно только после инструментального и лабораторного обследования.
Боль в области правого паха
Дискомфорт и боль в области правого паха может возникать при воспалительных процессах в организме. Речь идет о заболеваниях слепой кишки, воспалении червеобразной кишки или подвздошной кишки. Боли в области паха проявляются и при воспалениях правого яичника, поликситозе, оофорите или раковых заболеваниях.
На боль в области правого паха очень часто жалуются спортсмены. В этом случае речь идет об так называемом ARS синдроме. Синдром представляет собой воспаление приводящих и прямых мышц живота. Также возможен синдром паховых колец, то есть существенные повреждения мышечной ткани, которые и вызывают боль в паху, недомогания, боль при мочеиспускании, болезненные ощущения при ходьбе.
ДИАГНОСТИКА ПРИ БОЛЯХ В ПРОМЕЖНОСТИ
Для уточнения причины боли в промежности у мужчин использую следующие методы:
- пальцевое ректальное исследование;
- общий анализ мочи;
- анализ крови на специфический антиген простаты (PSA, PSA free)
- исследование секрета предстательной железы
- исследования соскоба из уретры
- ультразвуковое исследование.
Пальцевое ректальное обследование
Суть процедуры заключается в том, что врач вводит в прямую кишку указательный палец и пальпирует стенки ректального канала, заднюю поверхность предстательной железы. Цель исследования — оценить размер, консистенцию и форму простаты, а также выявить боль и другие признаки простатита.
Общий анализ мочи
Анализ мочи позволяет определить наличие воспалительного процесса в органах мочевыделительной системы для которых характерны такие изменения показателей, как:
- увеличение количества лейкоцитов
- появление эритроцитов
- примеси гноя и слизи;
- появление бактерий.
Анализ крови на специфический антиген простаты
Повышение уровня антигена PSA в крови может свидетельствовать о раке простаты, поэтому такой анализ обязательно включать в алгоритм диагностики пациентов с болями в промежности неопределенной причине.
Соскоб из уретры
Перед забором материала пациенту рекомендуют в течение трех дней воздерживаться от половой жизни, не употреблять спиртное и не использовать местные препараты. Процедур проводят при наполненном мочевом пузыре.
Забор материала осуществляют специальным стерильным зондом, который вводят в уретру и прокручивают, после чего помещают с пробирку с консервантом.
Полученный материал используют исследуют путем полимеразной цепной реакции, которая дает возможность выявить генетический материал возбудителя заболевания, провоцирует боль в промежности.
Исследование секрета предстательной железы
Перед получением простатического секрета врач проводит массаж простаты через переднюю стенку ректального канала. После этого специалист собирает секрет, который выделяется из уретры в стерильную пробирку и отправляет на исследование.
Исследование секрета предстательной железы проводят методом микроскопии, полимеразной цепной реакции или иммуноферментного анализа.
Микроскопия секрета простаты дает возможность оценить функцию органа и определить наличие воспаления или иной патологии
При исследовании обращают внимание на липоидные и лецитиновые тельца, количество которых уменьшается при заболеваниях органа. Также о воспалении свидетельствует увеличение количества лейкоцитов в секрете
ультразвуковое исследование
В диагностике боли в промежности могут использоваться УЗИ простаты, почек, мочевого пузыря и полового члена. Этот метод позволяет быстро и безболезненно определить заболевания, проявляющиеся болями в промежности.
Показания к проведению УЗИ:
- боли в промежности, паху и лобке;
- нарушение потенции и эректильной функции;
- затрудненное и частое мочеиспускание
- появление патологических выделений из уретры
- боли во время полового акта.
Медицинский центр «Диамед-экспресс» предлагает консультацию высококвалифицированного и опытного врача-уролога-андролога, а также широкий выбор исследований и обследований, которые помогут выявить причину боли в промежности.
Для консультации и диагностика записывайтесь на прием по телефонам: (044) 428 30 мая, (044) 221 54 87, (063) 693 15 45, (067) 232 60 58. Наш центр гарантирует высокое качество обследования на современном оборудовании, доступные цены и эффективное лечение.
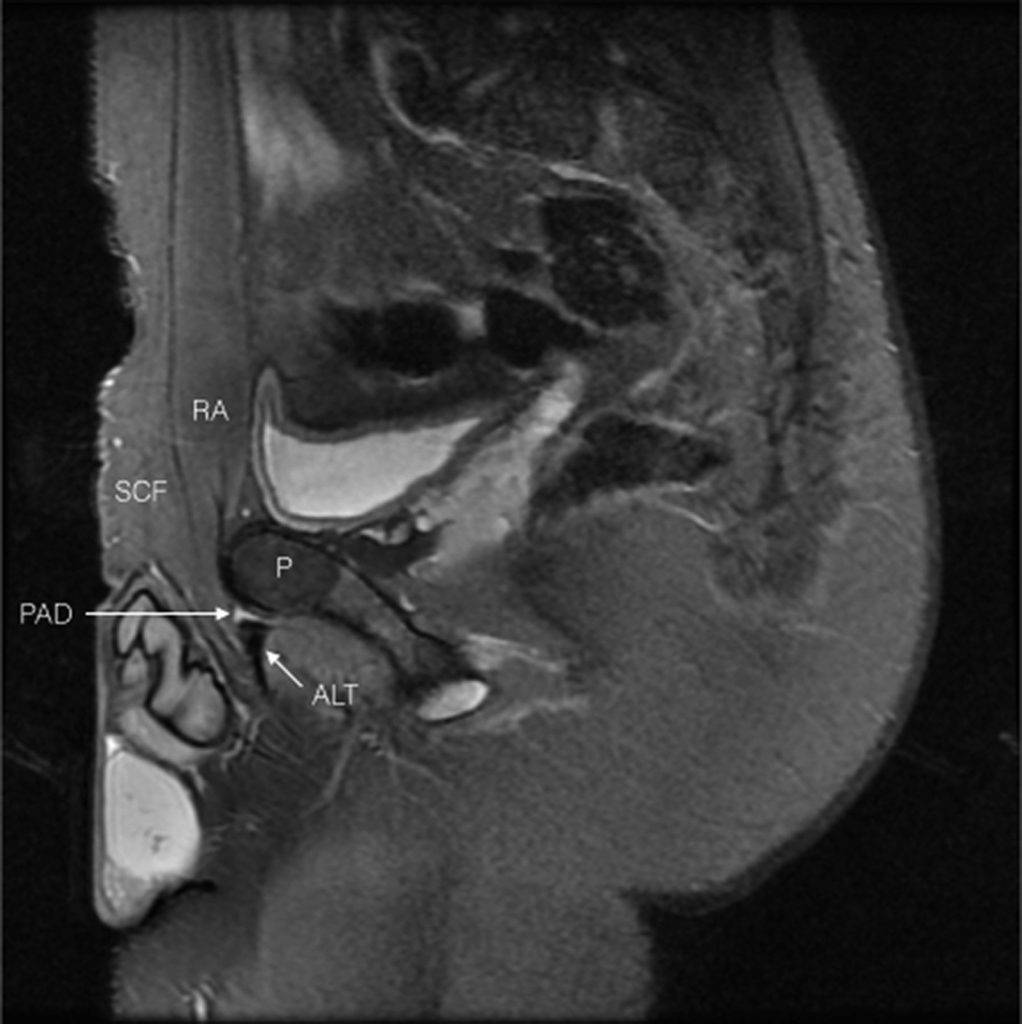
Диагностика

Картина МРТ при пубалгии
Визуализирующие методы исследования очень важны для такого сложного диагноза как пубалгия. Помочь с постановкой диагноза могут УЗИ, МРТ, КТ, контрастная рентгенография грыжи и лапороскопия.
Ультразвкуовые исследования имеют показатель точности 92% при выявлении грыжи в паху. Динамическое УЗИ способно обнаружить дефект задней стенки пахового канала у молодых мужчин без клинических симптомов паховой грыжи.
МРТ может показать патологические изменения в миофасциальных слоях брюшной стенки, что тесно коррелирует с данными, полученными в результате хирургического вмешательства. МРТ также может обнаружить отек в области лобкового симфиза, вызванный дисбалансом сил и искаженным движением сустава.
КТ помогает обнаружить дефекты задней стенки пахового канала и грыжи.
Определить наличие пубалгии также возможно с помощью герниографии. Тест считается положительным, если после введения контрастного вещества «высвечивается» грыжевой мешок на фоне нормальных очертаний брюшной полости.
Другой метод диагностирования спортивной грыжи – лапароскопия. Это инвазивная техника, очень эффективная для выявления данного заболевания. Плюс эндоскопии в том, что кроме диагностики она в то же время позволяет провести операцию для лечения грыжи.
























































