SQLITE NOT INSTALLED
Проявления нейтропении
При недостаточности нейтрофилов в организм свободно проникают болезнетворные бактерии, которые начинают размножаться в тканях и формировать патологические очаги воспаления. При этом пациент замечает соответствующую клиническую картину заболеваний. Частая заболеваемость различными инфекциями, их тяжелое течение – это повод заподозрить у больного наличие иммунодефицита, в том числе и нейтропении. Частыми признаками недостаточности нейтрофилов в организме считаются:
- Язвы в ротовой полости;
- Частые ангины;
- Долго не проходящий насморк;
- Воспаление десен;
- Отиты (воспалительные процессы в ухе);
- Множественный кариес в ротовой полости.
Наличие этих симптомов является поводом для того, чтобы обратиться к врачу и пройти общий анализ крови. Если игнорировать подозрительные симптомы и заниматься самолечением, заболевание может прогрессировать и осложняться серьезными патологиями.
Показатели повышены
Когда уровень нейтрофильных клеток повышается, это называется нейтрофилез. Однако незначительное повышение может наблюдаться при чрезмерных физических или психоэмоциональных нагрузках, а также после еды. Если же причина повышения нейтрофилов связана с заболеванием, то их уровень будет напрямую зависеть от активности болезни.
Причины увеличения
Патологическими причинами повышения уровня нейтрофилов можно назвать:
- активные воспалительные процессы – дерматит, пневмония, аппендицит, воспалительный процесс в поджелудочной железе и так далее;
- наличие в организме бактериальной инфекции, включая гнойные очаги поражения – флегмона, абсцесс,
- некоторые инфекции вирусного происхождения;
- грибковая инфекция или инфекции, спровоцированные простейшими микроорганизмами;
- опухолевые процессы;
- ожоги;
- сахарный диабет;
- отравления;
- трофическая язва;
- прием определенных медикаментозных препаратов, например, кортикостероидов;
- гемолиз эритроцитов или острая потеря крови.
Нейтрофилы повышаются в послеоперационный период.
Надо обратить внимание, что врачи оценивают тот факт за счет каких форм клеток произошло увеличение:
- Сдвиг формулы влево – повышены палочкоядерные нейтрофилы – такое часто бывает при лейкозе, анемии, гнойных инфекциях и ожогах.
- Сдвиг формулы вправо – повышены сегментоядерные нейтрофилы – встречается при лейкозе, анемии, полицитемии.
Симптомы
Чаще всего повышение нейтрофилов в крови начинается без какой-либо симптоматики, это связано с тем, что палочки появляются в момент начала болезни, и на их дозревание требуется время.
Когда нейтрофилы созревают, начинает появляться клиническая картина – начло гнойного процесса. Характерными признаками можно назвать:
- головную боль;
- повышение температуры;
- кашель;
- насморк;
- быстрая утомляемость и недомогание;
- отек и краснота пораженных участков дермы;
- наличие хрипов в легких;
- гной в носоглотке.
Лечение
Назвать нейтрофилез самостоятельной патологией нельзя, поэтому специфического лечения повышения нейтрофильных клеток нет. Врач определяет причину повышенных показателей и назначает лечение выявленного заболевания:
- инфекционные заболевания лечатся антибиотиками;
- вирусы – противовирусными средствами;
- грибки – противомикозными препаратами;
- патологии косного мозга – препаратами, которые угнетают патологически активную выработку этих клеток;
- инфаркт почки, легкого или миокарда требует реанимационных мероприятий;
- при несбалансированном питании корректируется меню и назначаются витаминные комплексы;
- при приеме некоторых медикаментозных средств изменяется курс лечения.
Почему понижены нейтрофилы
Если нейтрофилы понижены у ребенка, то это говорит о слабой иммунной системе организма, угнетенной деятельности костного мозга, из-за чего он не может вырабатывать в нужном количестве защитные клетки, об инфекционных процессах.
Низкие значения наблюдаются при следующих состояниях:
- инфекционные заболевания длительного течения;
- болезни неинфекционного происхождения;
- патологии, являющиеся врожденными;
- негативное влияние внешних факторов.
Определить, какой процесс или фактор привел к тому, что анализ показывает заниженное содержание нейтрофильных элементов, можно только путем проведения комплексной диагностики.
Длительные инфекции
Низкий уровень нейтрофилов в крови провоцируют следующие причины:
- острые вирусные респираторные заболевания;
- грипп;
- грибок;
- гепатит у подростков;
- краснуха;
- ветряная оспа.
Эти причины имеют благоприятный прогноз, потому что заболевания поддаются эффективному медикаментозному лечению, после чего уровень нейтрофилов придет в норму.
Неинфекционные болезни
Отсутствие палочкоядерных нейтрофилов либо их недостаточный уровень наблюдается при ряде заболеваний неинфекционного генеза, которые протекают преимущественно в хронической форме. К ним относят:
- анемию различных видов;
- лейкоз;
- тиреотоксикоз;
- артрит;
- врожденные и приобретенные патологии, при которых нарушается функционирование селезенки;
- наличие в организме онкологических новообразований вне зависимости от их локализации;
- поражения сердечной мышцы ревматоидными процессами;
- отклонения в работе поджелудочной железы, например, панкреатит, сахарный диабет.
Данные заболевания и патологические процессы сложны тем, что практически не поддаются излечению. Можно только купировать их обострения, продлевать ремиссии и облегчать состояние пациента. Но нейтрофилов в крови мало, а это значит, что организм ослаблен, иммунная система не может самостоятельно противостоять патогенным организмам, есть риск присоединения вторичных инфекций, из-за чего течение основных заболеваний может усугубляться.
Врожденные патологии
Состояние, когда нейтрофилы понижены у ребенка до года, может указывать на наличие врожденных заболеваний, характеризующихся нарушением процесса кроветворения. Но это случается в достаточно редких случаях. К таким врожденным патологиям, когда нейтрофилы снижены, относятся:
- Агранулоцитоз Костмана. Данная патология имеет агрессивный характер наследования, ее основное клиническое проявление заключается в постоянно заниженном количестве нейтрофилов. Дети, рожденные с таким диагнозом, имеют изначально ослабленный иммунитет, подвержены частым вирусным заболеваниям, медленнее набирают массу.
- Циклическая патология. Характеризуется тем, что с периодичностью в 3 недели — 1 месяц у ребенка уменьшается уровень защитных клеток, но через некоторое время он самостоятельно восстанавливается до нормальных значений. Дети с таким диагнозом имеют склонность к вирусным и инфекционным заболеваниям, но только в тот период, когда происходит уменьшение уровня клеток.
У детей с рождения и до достижения 2-летнего возраста может быть диагностирована доброкачественная нейтропения. Данный процесс характеризуется тем, что концентрация нейтрофилов не достигает показателей нормы, но при этом какие-либо признаки и симптомы отсутствуют, малыш имеет физическое и умственное развитие в пределах своей возрастной нормы.
В случае доброкачественной нейтропении ребенка нужно наблюдать у педиатра, кардиолога и гематолога. В большинстве случаев состояние крови после 2 лет самостоятельно приходит в норму, восстанавливается достаточный уровень нейтрофилов.
Внешние факторы
Низкое число нейтрофилов не всегда является признаком того, что в организме происходят патологические процессы либо есть хронические заболевания. Понижаться концентрация телец может под влиянием ряда внешних факторов. К ним относятся:
- длительная терапия некоторыми медикаментами: антибиотиками, цитостатиками, противосудорожными средствами;
- недостаток в организме витаминов и минеральных элементов;
- внезапное снижение массы тела;
- тяжелые аллергические реакции, в частности анафилактический шок.
Учитывая возможное влияние внешних факторов, определить, что привело к снижению нейтрофильных элементов, только по их количеству невозможно. Чтобы иметь представление об общем состоянии крови, полученный в ходе анализа показатель нейтрофилов рассматривается в совокупности с другими элементами, например, моноцитами и лимфоцитами.
Мало лимфоцитов у ребенка – о чем это говорит
Лимфопения – еще один вариант изменения уровня лимфоцитов в крови ребенка, говорящий о том, что белых клеток в организме малыша недостаточно для того, чтобы полноценно обеспечивать работу иммунитета. Как говорят врачи, лимфопения встречается в анализах гораздо реже лимфоцитоза, но если она обнаружена в анализах у ребенка, необходимо провести тщательную диагностику, так как это может говорить о следующих болезнях:
· наличие инфицирования туберкулезной бактерией;
· недостаточное количество железа в детском организме, то есть развитие анемии;
· наличие заболевания онкологической природы;
· недавно перенесенная химиотерапия или облучение из-за лечения какого-либо заболевания;
· инфицирование вирусом иммунодефицита человека;
· наличие почечной недостаточности.
Важно понимать, что лимфопения может быть не только приобретенной, но и врожденной. Врожденная разновидность лимфопении диагностируется в том случае, если ребенок родился от матери, больной СПИДом или женщины, у которой обнаружено злокачественное новообразование
Также врожденная лимфопения может наблюдаться при синдроме Вискотта-Олдрича. В этом случае в крови образуются птаологические антитела, способные уничтожать Т-лимфоциты.
Причиной развития приобретенной лимфопении может стать не только какая-либо патология, но и длительное голодание. Для формирования лимфоцитов необходимы белковые компоненты, и если они не попадают в кровь ребенка, то образование новых лимфоцитов становится невозможным, так как недостаточно строительного материала.
Приобретенная в результате голодания лимфопения чаще всего протекает без каких-то выраженных симптомов
Единственное, на что могут обратить внимание врачи или родители – это патологии кожи и повторное заражение такими инфекционными патологиями, как краснуха, ветрянка, пневмония
Лимфопения, как лимфоцитоз требует комплексного лечения. Нельзя повысить уровень лимфоцитов в крови, если не воздействовать на причину болезни. В большинстве случаев после устранения причины, приведшей к снижению уровня лимфоцитов, они восстанавливаются самостоятельно, без дополнительного стимулирующего воздействия извне.
Лимфоциты в человеческом организме играют очень важную роль. Они не только обеспечивают устойчивость к инфекциям, но и формируют иммунную систему ребенка с детских лет. Если формированию иммунитета с детства не уделять достаточное количество времени, то с возрастом у ребенка из-за проблем с количеством лимфоцитов могут развиться разнообразные патологии, бороться с которыми бывает совсем непросто.
Опасность пониженного содержания нейтрофилов
Снижение уровня содержания нейтрофилов в крови, или нейтропения, может привести к тяжелым последствиям для организма человека. Это связано с тем, что клетки данной группы имеют очень важные функции. Они являются основой противобактериального иммунитета. В норме в организм человека попадает множество микроорганизмов (например, с пищей или через кожу). Однако все они уничтожаются нейтрофилами. Эти клетки поглощают болезнетворные микроорганизмы и обезвреживают их, благодаря чему предотвращается развитие патологического процесса.
При сниженном содержании нейтрофилов в сыворотке крови пациента бактерии и вирусы свободно проникают в организм, и иммунные клетки не успевают их уничтожать. Развивается воспаление, которое и приводит к появлению клинической картины инфекционного заболевания.
Как выполняется подсчёт уровня нейтрофилов в крови?
Для проведения подсчёта уровня нейтрофилов требуется кровь. Для этого подойдёт любая: взятая из вены или капиллярная. У новорождённых могут взять кровь из пяточки. Исследование разновидности белых кровяных клеток называют подсчёт лейкоцитарной формулы. Оно выполняется при проведении общеклинического анализа крови (ОАК).
Это исследование чаще всего проводится с помощью микроскопа и специального счётчика клеток. Специалист исследует мазок крови и подсчитывает все виды клеток, которые он увидел. Подсчитывает сто клеток в мазке. Далее записывает результат в бланк ответов.
Для дифференцировки различных клеток друг от друга применяется окрашивание мазков. Чаще используется для окраски мазков крови метод Романовского-Гимзы.
При больших нагрузках лаборатории имеется возможность подсчёта клеток на автоматическом гематологическом анализаторе. Но только не все лаборатории могут быть оснащены такими аппаратами. Что возвращает снова к использованию ручного метода и ценности специалистов в этой области.

Причины снижения количества нейтрофилов у детей
Реализация механизмов снижения количества нейтрофилов в детском возрасте происходит из-за следующих причин.
- Апластическая анемия с нарушением формирования и дозревания всех клеток крови в красном костном мозге.
- Применение некоторых лекарственных средств, оказывающих влияние на состояние системы крови и красный костный мозг. К ним относятся цитостатики, нестероидные противовоспалительные средства, некоторые антибиотики. Вероятность снижения количества иммунокомпетентных клеток повышается при длительном использовании медикаментов.
- Следствие перенесенного облучения ребенка – воздействие ионизирующего излучения отображается на функциональном состоянии красного костного мозга и приводит к выраженному уменьшению количества нейтрофилов.
- Лейкозы, миелодиспластический синдром – онкологические болезни, затрагивающие красный костный мозг и систему крови. При этом количество нейтрофилов может увеличиваться или уменьшаться, но всегда страдает функциональное состояние клеток.
- Попадание некоторых токсинов в организм ребенка – ртуть, соли тяжелых металлов, мышьяк, толуол приводят к нарушению процесса формирования и дозревания клеток иммунной системы в красном костном мозге.
- Развитие объемных гнойных процессов различной локализации в тканях.
- Специфические инфекционные заболевания, вызванные некоторыми грибками, простейшими одноклеточными микроорганизмами, вирусами. Некоторые возбудители в виде осложнения вызывают истощение иммунитета с уменьшением количества соответствующих клеток.
Относительное снижение количества нейтрофилов в детском возрасте сопровождает острую респираторную вирусную патологию, при которой происходит абсолютное повышение количества лимфоцитов.
Выяснение факторов, которые спровоцировали снижение количества нейтрофилов, необходимо для назначения соответствующего лечения.
Признаки и симптомы агранулоцитоза
Легкая нейтропения обычно протекает бессимптомно. При тяжелой нейтропении отмечается герпес, лихорадка, изъязвление слизистых оболочек. Чем тяжелее проблема, тем менее устойчив пациент к различным инфекциям, особенно бактериальным. Симптомы инфекции обычно зависят от причины, локализации инфекции.
Герпес при тяжелой нейтропении
Простые, обычно легкие заболевания у такого человека развиваются быстро, легко могут осложниться сепсисом (заражением крови). Таким образом, человек с нейтропенией легко заражается инфекционными заболеваниями, но характерной особенностью является то, что воспалительная реакция в его организме будет очень слабой. Это объясняется тем, что больше нет клеток, которые обычно участвуют в этой реакции.
Гемоглобин
| Гемоглобин (Hb) – это компонент эритроцитов, участвующий в переносе кислорода. Единицами измерения гемоглобина является граммы/литр (г/л). Этот количественный показатель имеет высокое значение. Именно он определяет уровень кислородного снабжения тканей и органов. | |||||||||||||||||||||||||||||||||||||||||||||||||||||||||||
|
|
||||||||||||||||||||||||||||||||||||||||||||||||||||||||||
Почему низкий гемоглобин?
|
Причины отклонений
Возможны изменения концентрации нейтрофилов сегментоядерного типа в большую или меньшую (по сравнению с допустимыми нормами) сторону.
Повышенное содержание
Тщательное изучение клинических случаев позволяет сделать вывод о том, что сегментоядерные нейтрофилы повышены (патология называется нейтрофилёзом) при:
- Опухолевых недугах.
- Прогрессирующих микозах, бактериальных, паразитарных инфекциях.
- Эндокринных заболеваниях.
- Наличии гнойных очагов.
- Гипергликемии.
- Ожогах, других видах тканевых повреждений.
- Дестабилизации функционирования мочевыделительной системы, нефропатии.
- Воспалительных заболеваниях внутренних органов.
- Длительном пребывании в стрессовом состоянии.
- Тяжёлом течении предменструального синдрома.
- Отравлениях спиртосодержащими напитками (веществами), другими ядами.
- Инфарктах различной локализации, инсультах.
- Аллергических, дерматологических обострениях.
- Аутоиммунных сбоях.
- Развитии полипов, аденоидов.
- Приёме гормональных препаратов, антикоагулянтов.
- Потере, переливании крови, анемии.
- Проведении операций.
- Вакцинации.
Нейтрофилёз (состояние не причисляют к разряду болезней) протекает в одной из форм:
- Умеренной (концентрация сегментоядерных нейтрофилов: (6-10) x 109 ед/литр).
- Выраженной (концентрация клеток: (10-20) x 109 ед/литр).
- Тяжёлой (концентрация клеток: (более 20) x 109 ед/литр).
Если сегментоядерные нейтрофилы незначительно повышены у ребенка, это не считается аномалией в первые дни/недели жизни (когда физиологические процессы не полностью налажены), а также при острых воспалениях, обусловленных вакцинацией, прорезыванием зубов. К факторам риска также причисляют неоптимальный температурный режим, психоэмоциональное, физическое перенапряжение.
Сегментоядерные нейтрофилы нередко превышают нормальные показатели при беременности, характеризующейся интенсификацией нагрузок на все системы организма, изменениями, происходящими в работе иммунитета. Даже незначительные перегрузки, кислородный дефицит, недостаток сна, несбалансированность рациона, стрессы способны привести к изменению состава крови. Также нейтрофилёз у беременной женщины обуславливается потреблением алкоголя, другими пагубными привычками, отторжением плода, наличием предпосылок для преждевременных родов.
Пониженное содержание
Причины (перечень неблагоприятных факторов) определяют, принимая во внимание возраст пациента. Выяснить, почему снизился уровень нейтрофилов, проведя одно исследование крови, недостаточно
Требуются дополнительные диагностические мероприятия
Требуются дополнительные диагностические мероприятия.
У взрослого сегментоядерные нейтрофилы могут быть понижены (патологическое состояние называют нейтропенией) при:
- Наследственных (генетических) аномалиях.
- Химических отравлениях.
- Гепатите, ВИЧ, гриппе, ветрянке, других вирусных инфекциях.
- Гангрене, пиелонефрите, тромбофлебите, сепсисе, флегмоне, осложнениях бактериальных болезней.
- Воспалительных недугах.
- Иммунологических патологиях.
- Диабете, других метаболических заболеваниях.
- Раковых болезнях.
- Хронических заболеваниях органов, участвующих в пищеварении.
- Гиперфункции щитовидки.
- Отрицательных последствиях воздействия отдельных видов излучения.
- Анемии.
- Патологиях костного мозга.
- Анафилактическом шоке.
- Обширных ожогах.
- Медикаментозном злоупотреблении.
- Отравлениях тяжёлыми металлами, грибами.
- Укусах змей.
- Проживании в регионах с высоким уровнем загрязнённости экологии.
Нейтропения бывает:
- Лёгкой (мягкой): концентрация сегментоядерных нейтрофилов составляет от (1-1,5) x 109 ед/литр.
- Умеренной: (0,5-1) x 109 ед/литр.
- Тяжёлой: (менее 0,5) x 109 ед/литр.
Низкие сегментоядерные нейтрофилы у ребенка обуславливаются:
- Прогрессирующей краснухой, корью, ветрянкой, свинкой, другими болезнями, проявляющимися у малыша преимущественно в раннем детстве.
- Малокровием, развивающимся на фоне железодефицита, недостаточного поступления в организм витамина B
- Введением в организм вакцины.
- Прорезыванием зубов.
- Переутомлением.
Повышенный уровень сегментоядерных нейтрофилов в крови
Сегментоядерный нейтрофилез (показатель более 75%) может иметь физиологические и патологические причины развития. Повышенные показатели нейтрофильных лейкоцитов вызывают:
- длительное нервно-психологическое напряжение (дистресс), психоэмоциональное потрясение;
- ПМС у женщин;
- чрезмерная физическая активность (интенсивные спортивные тренировки, иные нагрузки).
Количество зрелых лейкоцитарных нейтрофилов увеличено у хронических алкоголиков и при однократной алкогольной интоксикации. Патологический сдвиг лейкограммы вправо – клинический признак острых инфекционных и некротических процессов.
Генерализованные и локальные инфекции, вызванные активностью болезнетворных бактерий (кишечной палочкой, стафилококками, энтерококками, стрептококками, анаэробами, палочкой Коха). К наиболее распространенным относятся:
- воспаление аппендикса (аппендицит) и гнойное воспаление брюшной полости (перитонит);
- острая пневмония и туберкулез легких;
- развитие острого или рецидив хронического пиелонефрита;
- сепсис (заражение крови);
- нагноения (абсцессы) разной локации (в мышцах, подкожной клетчатке, костях);
- кишечные инфекционные болезни (дизентерия, холера, сальмонеллез и др.);
- паразитарные инвазии (в остром периоде);
- стрептококковые и стрептококковые поражения ротоглотки.
Нейтрофилы выше нормы в анализе крови фиксируются при заражении венерическими болезнями (в остром периоде проявления симптомов). Некрозы:
- гангренозное поражение конечностей;
- инфаркт (миокарда, селезенки, почки и т.п.);
- панкреонекроз (отмирание клеток поджелудочной железы).
Хронический сегментоядерный лейкоцитоз сопровождает незаживающие трофические язвы, кетоацидозный криз при сахарном диабете, онкогематологические патологии (раковые заболевания кровеносной и лимфатической системы). Общий уровень нейтрофильных клеток может быть повышен:
- в первые дни после хирургических вмешательств;
- при авитаминозе цианокобаламина (хроническом дефиците витамина В12);
- после курсового лечения гормоносодержащими лекарствами.
Нейтрофилез иногда наблюдается после плановой вакцинации.
Стадийность нейтрофилии
По степени сдвига лейкограммы вправо различают три стадии нейтрофилии. Первая стадия умеренная (7-10 аб. ед. * 10^9/л) и вторая выраженная стадия (10-20 аб.ед. * 10^9/л) характерны для местных (локальных) воспалений. Третья тяжелая стадия (20-60 аб. ед. * 10^9/л) – признак генерализованного инфекционно-воспалительного процесса. По увеличению значений NEU можно предполагать масштабы инфекционного поражения.
Что это такое?
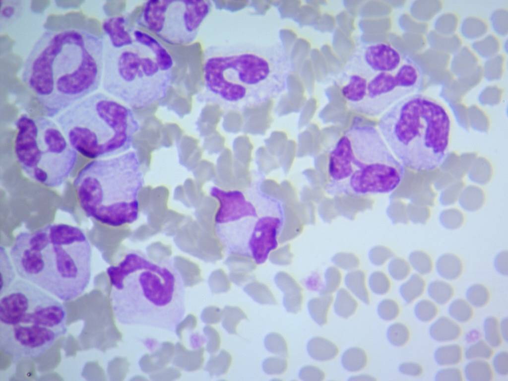
Сегментоядерные нейтрофилы – это одна из разновидностей нейтрофилов, они составляют основную часть лейкоцитов. Образуются из палочкоядерных – это их незрелая форма. В крови зрелые нейтрофилы находятся дольше, чем незрелые – около 2-8 часов, и только потом проникают через сосудистые стенки в органы. С этим связан тот факт, что сегментоядерных нейтрофилов в крови всегда больше, чем палочкоядерных.

У палочкоядерных нейтрофилов ядра ровные, сплошные и похожие на изогнутые палочки. У сегментоядерных они делятся на сегменты 2-5 штук, поэтому их еще называют зернистыми. Такое строение ядра позволяет этим клеткам мигрировать через стенки сосудов в органы и ткани.
Справка! Цитоплазма нейтрофилов розовая, а зернистость коричневая. При наличии воспалительного процесса в организме зернистость становится крупнее и окрашивается в синий цвет.
Основной функцией нейтрофилов является борьба с различными инфекционными возбудителями, которые попадают в организм человека извне (в первую очередь грибковыми и бактериальными), а также поддержание иммунной системы на надлежащем уровне. Вырабатываются нейтрофилы костным мозгом, и могут быстро передвигаться и концентрироваться в местах повреждения или воспаления тканей.
Когда патогенная флора попадает в организм человека, сегментоядерные нейтрофилы поглощают их и переваривают, при этом сами нейтрофилы погибают – это называется фагоцитозом или фагоцитарной активностью.
Нейтрофилы – микрофаги, они способны поглощать только небольшие чужеродные частицы и клетки. Эти структуры содержат миелопероксидазу – фермент, который после гибели клетки повышает действие антибактериальных агентов в крови человека. Когда эти биологические вещества в больших количествах высвобождаются, они начинают повреждать бактерии и активизировать скопление иммунных клеток в пораженном очаге.

Погибшие нейтрофилы, клеточная масса, разрушенная воспалительным процессом, и патогенные микроорганизмы образуют смесь, которая называется гной. Гной зеленого цвета, так как фермент миелопероксидаза имеет зеленый пигмент.
Что касается вирусных инфекций, в борьбе с ними нейтрофилы играют куда меньшую роль, а также практически не участвуют в борьбе с гельминтами и опухолями.
Нейтрофилы ниже нормы
Нейтропения — снижение числа нейтрофилов .
Основными причинами нейтропении являются:
1. Инфекции: вирусные (грипп, корь, краснуха, ветряная оспа, инфекционный гепатит, СПИД), бактериальные (брюшной тиф, паратиф, бруцеллез), риккетсиозные (сыпной тиф), протозойные (малярия, токсоплазмоз).
2. Другие острые и хронические инфекции и воспалительные заболевания, протекающие в тяжелой форме и/или приобретающие характер генерализованных инфекций.
3. Побочное действие некоторых медикаментов (цитостатические средства, сульфаниламиды, анальгетики, противосудорожные, антитиреоидные препараты и др.).
4. Лучевая терапия, ионизирующее облучение.
5. Гиперспленизм ( увеличение селезенки в размерах); сочетается с анемией и тромбоцитопенией.
6. Гипо- и апластическая анемия.
7. .
8. Анафилактический шок.
Большое диагностическое значение имеет выявление в периферической крови при некоторых заболеваниях дегенеративных форм нейтрофилов. Например, под влиянием инфекционного или токсического агента, помимо характерной для нейтрофилов мелкой нежной зернистости, в цитоплазме появляются крупные грубые базофильно окрашенные гранулы и вакуоли. Гиперсегментированные нейтрофилы, ядро которых состоит из 6 и более сегментов появляются при В12-фолиеводефицитной анемии, лейкозах, а также при некоторых инфекциях и гнойно-воспалительных заболеваниях.
Расшифровка анализа крови на нейтрофилы
Норма
Нормальное содержание нейтрофилов в общем анализе крови у взрослых составляет 45-70% от общего содержания всех лейкоцитов или 1,8-6,5×109/л. У детей норма нейтрофилов в крови зависит от возраста. У ребенка первого года жизни она составляет 30-50% или 1,8-8,4×109/л, до семи лет – 35-55% или 2,0-6,0×109/л, до 12 лет – 40-60% или 2,2-6,5×109/л.
При этом в общем количестве нейтрофилов норма сегментоядерных форм составляет 40-68%, палочкоядерных форм – 1-5%.
Повышенные значения
Повышение количества нейтрофилов (нейтрофилез) является специфической формой защиты организма от проникновения инфекции и развития воспалительного процесса. Обычно нейтрофилез сочетается с лейкоцитозом (повышение числа лейкоцитов), при этом увеличение количества палочкоядерных нейтрофилов указывает на развитие бактериальной инфекции в организме.
Незначительное повышение содержания нейтрофилов в крови наблюдается при чрезмерной физической нагрузке, сильных психоэмоциональных напряжениях, после сытной еды, при беременности.
Но значительное увеличение количества нейтрофилов в анализе крови может указывать на развитие следующих патологий:
- умеренный или локализованный воспалительный процесс (уровень нейтрофилов в крови повышается до 10,0×109/л);
- обширный воспалительный процесс в организме (уровень нейтрофилов в крови повышается до 20,0×109/л);
- генерализованный воспалительный процесс, например, при сепсисе стафилококковой этиологии (уровень нейтрофилов в крови повышается до 40,0-60,0×109/л);
Состояние, при котором в крови появляются незрелые формы нейтрофилов (миелоциты, промиелоциты), увеличивается количество палочкоядерных и юных форм, называют сдвигом лейкоцитарной формулы влево. Такое состояние наблюдается при особо тяжелых и обширных инфекционных процессах, в частности при гнойных инфекциях.
Пониженные значения
Понижение нейтрофилов в анализе крови (нейтропения) указывает на функциональное или органическое угнетение кроветворения в костном мозге. Еще одной причиной нейтропении может быть активное разрушение нейтрофилов под действием токсических факторов, антител к лейкоцитам, циркулирующих иммунных комплексов. Обычно снижение уровня нейтрофилов наблюдается при ослаблении иммунитета организма.
Специалисты различают нейтропению врожденную, приобретенную и невыясненного происхождения. Хроническая доброкачественная нейтропения нередко встречается у малышей до года жизни. Такое состояние в норме может быть у деток до двух-трех лет, после чего данный показатель крови должен нормализоваться.
Чаще всего понижение нейтрофилов в анализе крови наблюдается при следующих заболеваниях и состояниях:
- вирусные инфекционные заболевания (грипп, краснуха, корь);
- бактериальные инфекции (брюшной тиф, бруцеллез, паратиф);
- протозойные инфекционные болезни (токсоплазмоз, малярия);
- риккетсиозные инфекционные заболевания (сыпной тиф);
- воспалительные заболевания, которые протекают в тяжелой форме и приобретают характер генерализованного инфекционного процесса;
- апластическая и гипопластическая анемии;
- агранулоцитоз (резкое уменьшение числа нейтрофилов в крови);
- гиперспленизм (уменьшение содержания лейкоцитов, эритроцитов, тромбоцитов в крови вследствие их разрушения или накопления в увеличенной селезенке);
- лучевая терапия, радиационное облучение;
- выраженный дефицит массы тела, кахексия (крайнее истощение организма);
- прием некоторых лекарственных препаратов (сульфаниламиды, цитостатики, анальгетики, левомицетин, пенициллины).
В некоторых случаях снижение числа нейтрофилов носит временный, непродолжительный характер. Такое состояние, например, наблюдается в ходе проведения противовирусной терапии. Данная нейтропения является обратимой, она проходит после прекращения приема лекарств. Однако если уменьшение числа нейтрофилов в анализе крови сохраняется в течение длительного времени, это может указывать на развитие хронического заболевания кроветворной системы. Кроме того, возрастает риск инфекционных заболеваний, если низкое содержание нейтрофилов сохраняется на протяжении более трех суток.
Моноциты
Моноциты – Это важнейшие хотя и немногочисленные лейкоциты, принимающие непосредственное участие в процессе иммунной реакции на чужеродные вещества и организмы
Наиболее важной функцией является распознавание свой-чужой.
возраст
Показатель
1-3 день
3 – 12 %
4- 14 день
5 — 15 %
От 2 недель до 12 месяцев
4 — 10 %
От 12 месяцев до 2 лет
3 — 10 %
От 2 до 5 лет
3 — 9 %
От 6 до 7 лет
3 — 9 %
От 8 до 9 лет
3 — 9 %
От 9 до 11 лет
3 — 9 %
От 12 до 15 лет
3 — 9 %
Старше16 лет
3 — 9 %
Грибковые инфекции (кандидоз),
Паразитозы
Ранний период после в инфекционно-воспалительного заболевания
Специфические болезни: туберкулез, сифилис, бруцеллез,
Саркоидоз,
Неспецифический язвенный колит
Ревматические болезни
острый лейкоз,
миеломная болезнь,
лимфогранулематоз
интоксикация фосфором или тетрахлорэтаном.
Причины снижения моноцитов (моноцитопения)
апластическая анемия
волосатоклеточный лейкоз
Гнойные процессы – абсцесс, флегмона, гангрена, остеомиелит
роды
ранний период после операции
прием гормональных противовоспалительных лекарств (дексаметазон, преднизолон)
Повышенные нейтрофилы в крови у ребенка
Увеличение концентрации нейтрофилов в крови или нейтрофилия — у ребенка может быть обусловлено очень многими причинами. Это может быть связано с заболеванием, приёмом некоторых лекарственных препаратов (например, системных кортикостероидов), отравлениями.
Причины увеличения палочкоядерных нейтрофилов
Палочкоядерные нейтрофилы являются не до конца созревшими клетками, содержание которых в лейкоцитарной формуле не превышает 6%. Превышение этой цифры свидетельствует об активации костномозгового кроветворения, что может встречаться при следующих состояниях:
- Болезни мочевыводящих путей: цистит, пиелонефрит, обострение мочекаменной болезни.
- Ожоги различной степени.
- Болезни бронхиального дерева и лёгких: трахеит, бронхит, пневмония, бронхоэктатическая болезнь и т.д.
- Болезни уха, горла и носа: тонзиллит (ангина), воспаление придаточных пазух носа (гайморит, фронтит, этмоидит). Иногда возможно воспаление всех пазух одновременно – пансинусит.
- Наличие флегмон, абсцессов разной локализации (например, паратонзиллярный абсцесс).
- Болезни крови со злокачественным течением (лейкозы).
- Туберкулёз.
Причины увеличения сегментоядерных нейтрофилов
Сегментоядерные гранулоциты являются полностью созревшими клетками, которые принимают на себя основной удар во время встречи с чужеродными микроорганизмами. Именно эти клетки осуществляют фагоцитоз и отвечают за клеточный иммунитет в организме. Повышение сегментоядерных клеток происходит при следующих состояниях:
- Интоксикации различного происхождения;
- Глистные инвазии. В данном случае в крови будет также наблюдаться эозинофилия – увеличение процентного соотношения эозинофилов.
- Сахарный диабет, особенно при развитии осложнений.
- Системные заболевания (ревматизм, системная красная волчанка и т.д.)
- Бактериальные инфекции различной локализации.
Течение болезни
Течение болезни напрямую зависит от причин:
- При врожденных причинах нейтропения бывает циклической или стойкой.
- При неопластических заболеваниях, когда костный мозг поврежден, нейтропения развивается медленно.
- Когда лекарства расщепляют гранулоциты, агранулоцитоз развивается очень остро.
Прогноз также варьируется от случая к случаю. Например, некоторые врожденные нейтропении, например, ретикулярная дисгенезия, приводят к смерти младенцев от различных инфекций уже через 2-17 недель после рождения. Хороший прогноз можно ожидать у пациентов с хронической доброкачественной нейтропенией, которая обычно протекает в легкой форме.























































