SQLITE NOT INSTALLED
Лечебные меры
Способ лечения ребенка или взрослого зависит от возраста, присутствия дополнительных патологий и от того, есть ли у пациента признаки патологии, или их нет. Если симптомов нет, и дефект не сопровождают дополнительные проблемы, у пациента не ухудшается самочувствие, нужно просто пройти обследование у педиатра, терапевта и кардиолога. Врачи смогут оценить состояние овального углубления и вовремя принять соответствующие меры, назначат лечение. Если окно не закроется естественным способом до пяти лет, то назначают корректирующие препараты.
В группе риска состоят пациенты, у которых нет выраженных признаков, но вероятно возникновения ишемии, инфаркта, инсульта, патологий вен на ногах либо других болезней. В некоторых случаях может потребоваться проведение операции, когда овальное окно имеет слишком большой диаметр, а кровь поступает в область левого предсердия. Среди методик особенно выделяется хирургия эндоваскулярного типа: в процессе операции больному вставляют катетер в вену бедра, который затем проводят до зоны правого предсердия.
Путь катетера контролируется при помощи рентгеновского аппарата и ультразвукового датчика, которые прокладываются сквозь пищевод. Потом через такие катетеры проводятся окклюдеры, которые хорошо прикрывают отверстие. Данная методика обладает и недостатками, так как окклюдеры могут спровоцировать воспалительные процессы в тканях сердца. Есть и дополнительный способ решения проблемы, представляющий собой особый пластырь, вводящийся через катетер, который затем раскрывается в предсердии. Он хорошо регенерирует ткани и самостоятельно рассасывается на протяжении тридцати дней.
Признаки у взрослых
- У взрослого человека с возрастом отмечаются признаки гипертензии легких и перегрузка правых отделов сердца. Это обнаруживается в ходе исследования.
- Такие признаки ведут к нарушению ЭКГ: нарушается проводимость по правой ножке пучка Гиса, увеличивается размер правых отделов сердца.
- Если у взрослого человека открыто это отверстие, он более склонен к развитию мигрени, что подтверждает статистика.
- Есть данные о том, что при такой аномалии возрастает вероятность развития инсульта или инфаркта. Состояние, когда из венозной в артериальную систему попадает инородное тело, тромб или часть опухоли, называется парадоксальной эмболией. Когда такие частицы попадают в сосуды сердца, происходит инфаркт миокарда. Когда они оказываются в сосудах почек, происходит инфаркт почки. А при попадании этих элементов в сосуды мозга происходит ишемический инсульт или транзиторная ишемическая атака.
- Также вероятно проявление такого парадоксального симптома, как platypnea-orthodeoxia. При таком состоянии человек страдает от одышки, когда поднимается с кровати. Одышка пропадает, когда он снова принимает лежачее положение.
Основные симптомы
Если младенец страдает от патологии незакрытого окна, понять это можно по следующим симптомам:
- медленный набор веса;
- заметное посинение окологубного треугольника во время кашля, плача либо крика;
- подверженность бронхиальным и легочным простудным заболеваниям.
В более старшем детском возрасте, если окошко так и не закроется, у подрастающего ребенка могут развиться одышка и тахикардия, даже не при самых серьезных физических нагрузках.
Ближе к подростковому возрасту и на протяжении всей взрослой жизни патология будет проявляться следующими признаками:
- быстрая утомляемость;
- хроническая усталость;
- головокружения;
- слабость;
- мигрени;
- частые респираторные заболевания.
Наиболее часто встречающиеся у детей сердечно-сосудистые заболевания
Врожденные пороки сердца (ВПС) — дефекты в структуре сердца и крупных сосудов, которые мешают их нормальной работе. ВПС чаще всего выявляются на УЗИ, которое делают женщине еще во время беременности. Дети с ВПС обычно быстрее утомляются, подвержены частым респираторным заболеваниям, могут отставать в развитии от сверстников. Лечение ВПС в большинстве случаев предполагает хирургическое вмешательство.
Артериальная гипертензия — несмотря на то, что об этом заболевании обычно говорят по отношению к взрослым пациентам, среди детей оно тоже распространено: примерно 20% школьников страдают от повышения артериального давления. Наиболее предрасположены к повышению давления дети препубертатного и пубертатного возраста. Причиной повышения давления могут быть патология почек, бронхо-легочная дисплазия, сужение аорты. Способствуют развитию гипертензии повышенная масса тела, стрессы, наследственность. Ребенок может никак не ощущать повышенное давление, но может жаловаться на головную боль, боли в области сердца, нарушения памяти, повышенную утомляемость. На первоначальном этапе лечение сердечно-сосудистых заболеваний осуществляют немедикаментозными методами (режим дня), если это не дает результата, то применяются препараты, снижающие давление.
Артериальная гипотензия — понижение давления, которое может сопровождать различные заболевания (в том числе сахарный диабет, патологию почек, кардиологические заболевания, гипотериоз и другие) или быть следствием особенностей развития ребенка — к гипотонии склонны дети с недостаточной массой тела, ипохондрики, дети, не соблюдающие режим дня и т.д. Пониженное давление проявляется головной болью, слабостью, снижением работоспособности, ухудшением памяти, обмороками. Лечение гипотонии на первых этапах осуществляется немедикаментозными методами за счет регуляции режима дня, массажа, занятий физкультурой, закаливания. Медикаментозное лечение состоит в назначении препаратов, повышающих давление, тонизирующих средств, витаминов и т.д.
Ревматическая лихорадка — это заболевание, которое является основной причиной формирования приобретенных пороков сердца у детей. Заболевание может возникнуть как осложнение после ангины, оно носит аутоиммунный характер, причем ткани сердца страдают в наибольшей степени. Опасность ревматической лихорадки состоит в том, что сформировавшиеся пороки сердца могут быть вовремя не распознаны, они прогрессируют, и в возрасте 20–30 лет проявляются в виде сердечной недостаточности. Чтобы избежать развития осложнений, необходимо проводить профилактику ангин, а также наблюдать ребенка у кардиолога в течение года после перенесенного заболевания.
Тахикардия — повышение частоты сердечного ритма, связанное с нарушением механизмов, регулирующих работу сердца. Проявляется тахикардия обычно учащением дыхания, слабостью, одышкой, головокружением, ребенок может упасть в обморок. Лечение, в зависимости от вида тахикардии, может быть медикаментозным или хирургическим.
Аритмия — нарушение ритмичности работы сердца. Как правило, мы говорим об этом заболевании применительно к людям старшего возраста, однако, в частности, в период гормональной перестройки аритмией могут страдать и дети. Также факторами, вызывающими аритмию, могут быть наследственность, пороки развития сердечной мышцы, перенесенные инфекции и т.д. Обычно дети описывают свои ощущения от аритмии, как сильное утомление, дискомфорт в области сердца, головокружение, потемнение в глазах, слабость. Такие дети отказываются от игр, стараются избегать физической нагрузки. Часто улучшить состояние ребенка можно за счет корректировки режима питания и сна, разумной физической активности. В некоторых случаях требуется прием препаратов.
Методика лечения данной сердечной аномалии
Если открытое окно не больших размеров, и нет никаких сердечных дополнительных заболеваний у ребенка, то в этом случае, дитя не нуждается ни в каких лекарственных препаратах и манипуляциях. Можно ограничиться лишь регулярным наблюдениям у специалиста.
Если умеренные размеры открытого отверстия вызывают дискомфортные состояния детского организма, возможно назначение антикоагулянтов и дезагрегантов.
Если же слишком большие размеры овального окна вызывают декомпенсированные состояния у ребенка, необходимо хирургическое вмешательство.
В любом случае, при любом течении этого недуга, необходимо регулярное наблюдения у врача. Лекарственные препараты необходимо давать ребенку исключительно по рецепту доктора. Решение про оперативное вмешательство принимается только после соответствующего вывода медицинских специалистов. Самолечение, при данной патологии недопустимо!
Чем опасно незакрытие
Овальное окно в сердце у детей и пациентов старшего возраста не считается грозным заболеванием.
Само по себе оно редко несет выраженную опасность для здоровья и жизни. Как было сказано, присутствует у 25% населения после 18 лет, но мало кто подозревает о проблеме.
Если же присутствие нарушения влечет симптомы, ухудшение состояния, также на фоне неграмотного лечения, вероятно развитие таких осложнений:
- Остановка сердца. В результате катастрофического падения сократительной способности миокарда.
- Инфаркт. Некроз кардиальных структур.
- Инсульт.
- Частые пневмонии. Воспаления легких застойного происхождения. Септической этиологии. Провоцируется бактериями. Может привести к дыхательной недостаточности.
Диагностические методы
Перед тем, как назначить комплексную терапию и подтвердить патологию, специалист обычно назначает диагностику, в результате которой можно точно узнать о наличии овального отверстия. Стандартной методикой является метод прослушивания, или аускультация, грудины во время осмотра малыша: при патологии доктор фиксирует шумы систолического типа. Существуют более достоверные методы, включая ЭКГ и ультразвуковое исследование.

Если части канала не закрывают края отверстия полностью, рекомендуется как можно скорее обратиться к специалисту и пройти полное обследование. Визуализирование посредством ЭХОКГ представляет главную методику, ее назначают каждому ребенку, достигшему месячного возраста, о чем свидетельствуют новые стандарты в сфере педиатрии. Если у пациента имеются пороки сердца, ему иногда рекомендуют провести экокардиографию через пищевод и пройти исследование ангиографического типа в профильном стационаре.
Опасность патологии
У детей патология может провоцировать увеличение частоты заболеваемости пневмонией или бронхитом. Осложнения при наличии ООО проявляются в основном при большом его диаметре и у взрослых:
- мигрень;
- гипертония;
- ишемия;
- тромбоз вен ног;
- сердечная недостаточность;
- пародоксальная эмболия, вызывающая инфаркт миокарда, почки или инсульт;
- кессонова болезнь. Риск ее возникновения у людей, профессия или увлечения которых связаны с длительным пребыванием на глубине, возрастает в 5 р.;
- септический эндокардит.
Важно!
Эмболия часто становится причиной летального исхода, поэтому пациентам с наличием аномалии нужно регулярно проходить осмотр и соблюдать рекомендации кардиолога.
Преимущества эндоваскулярной методики
Эндоваскулярный способ закрытия дефекта выгодно отличается от операции по ушиванию ДМПП. Последняя требует искусственного поддержания кровообращения во время операции, имеет больше противопоказаний и значительный период реабилитации. Несмотря на то, что хирургическое лечение прочно вошло в практику и применялось долгое время, сейчас оно уступает место эндоваскулярному методу.
Главное преимущество в том, что эндоваскулярная операция – это малоинвазивная хирургия. После нее не остается шрамов, процедура не требует разрезов или открытого доступа. У эндоваскулярного метода чрезвычайно низкий процент послеоперационных осложнений. Пациентам не требуется длительная госпитализация и реабилитация.
На данный момент эндоваскулярная операция – это общепризнанный мировой стандарт, отвечающий всем требованиями безопасности и эффективности.
Принцип работы окклюдера
Впервые операция с помощью окклюдера была произведена в конце 80-х годов прошлого века – это был эксперимент на животных. Окклюдер – это специальное устройство, которое устанавливают через сосудистый доступ, а после установки оно выполняет функцию заплатки. Со временем техника выполнения таких операций совершенствовалась, и сейчас успешно применяется для лечения тысяч пациентов. Уже в 21 веке появилось множество модификаций и разновидностей окклюдеров для разных случаев.
Принцип работы устройства следующий: конструкция, раскрывающаяся подобно зонтику, заводится в нужное место через сосуд. После установки заплатки никаких других манипуляций не требуется. Окклюдер производят из сплавов металлов, давно применяемых в медицине – из никеля и титана, покрытых сверху специальным биосовместимым волокном. Материалы протестированы множество раз, они не вызывают аллергии. Устройство сконструировано таким образом, что центровка в отверстии перегородки происходит самостоятельно – задача врача довести окклюдер по сосудам до нужного места. Модель устройства подбирается в зависимости от конкретного дефекта – существуют разные модификации для лечения разных пороков сердца.
Доставка к сердцу производится с помощью катетера, который заводят в крупный сосуд – артерию или вену бедра. Размер окклюдера не больше 2,5 мм в диаметре, поэтому он спокойно проходит по сосудистому руслу. Устройство раскрывается только после установки в соответствующее положение рядом с дефектом перегородки.
Операция выполняется квалифицированными врачами, прошедшими специальное обучение. Процедура проводится в операционной. Пациент во время операции лежит. Врач может контролировать все свои действия с помощью специального оборудования, передающего изображение на мониторы. В ходе операции проводится мониторинг жизненных показателей.
Читать полностью
Врачи, выполняющие эндоваскулярное закрытие дефекта межпредсердной перегородки
Бабунашвили Автандил Михайлович
Врач сердечно-сосудистый хирург, заведующий отделением сердечно-сосудистой хирургии, доктор медицинских наук, профессор, заслуженный врач РФ
Стаж 34 года
Записаться на прием
Часто задаваемые вопросы
Среднее время пребывания в стационаре 3-4 дня. Как правило, в день поступления утром вы проходите обследование, включающее в себя клинический и биохимический анализ крови (приезжать нужно натощак), делаете рентгеновский снимок, ЭКГ, ультразвуковое исследование сердца и консультацию кардиолога и кардиохирурга. Если все показатели в норме, на следующий день проводится операция по устранению порока. На третий день мы проводим контрольные исследования и выписываем Вас.
Для госпитализации в наш стационар вам понадобится паспорт или свидетельство о рождении ребенка.
Если пациент детского возраста, нужна справка о санэпидокружении (о том, что в последнее время ребенок не контактировал с инфицированными больными), которую вы получите в поликлинике по месту жительства.
Желательно иметь при себе предыдущие консультативные заключения, ЭКГ и рентгеновский снимок органов грудной.
Направление от кардиолога по месту жительства НЕ ТРЕБУЕТСЯ. Вы можете приехать на консультацию и последующее лечение в порядке самообращения. Если Вам более 30 лет или вы ощущали перебои в работе сердца, желательно провести холтеровское мониторирование по месту жительства. Такое исследование можно провести и у нас, но это увеличит Ваше время пребывания в стационаре на 1-2 дня.
Если вы страдаете хроническим гастритом, язвенной болезнью желудка или двенадцатиперстной кишки необходимо сделать фиброгастродуоденоскопию. В случае подтверждения заболевания, Вам необходимо пройти курс лечения по месту жительства. Такое исследование можно провести и у нас, но это увеличит Ваше время пребывания в стационаре на 1-2 дня в случае отсутствия язв и эррозий.
Как правило, длительность операции в пределах 1-1,5часа. Но при сложных анатомических вариантах время операции может увеличится.
Всем взрослым пациентам операция проводится под местной анестезией. Пациент может наблюдать за ходом операции и общаться с персоналом. Исключение составляют пациенты с дефектом межпредсердной перегородки, которым во время операции требуется контроль транспищеводного УЗИ и для комфорта пациента операция проводится в состоянии медикаментозного сна. Все эндоваскулярные операции у детей и мнительных пациентов проводятся под общей анестезией.
Самый неприятный момент — это укол местного анестетика в паховую область. Затем болевая чувствительность полностью исчезает.
Через 3-6 месяцев имплантированные устройства полностью прорастают своими клетками — покрываются эндотелием и их уже не отличить от внутренней поверхности сердца. Все устройства выполнены из высокотехнологичного медицинского сплава, который не вызывает реакций отторжения или аллергических реакций.
Нет, установленные устройства не ощущаются.
Да, на КТ ограничений нет. На МРТ производители имплантов гарантируют безопасность при 1,5 и 3 Тесла. Перед обследованием обязательно сообщите радиологу о том, что у Вас установлен внутрисердечный имплант.
Необходимо ограничить сильную физическую нагрузку на 6 месяцев. Необходима профилактика респираторных инфекций, тонзиллита, кариеса. В случае, если заболевание начало развиватьс я, в схему лечения нужно включить антибактериальные препараты, после консультации с врачом. В течении первого месяца после операции необходимо также ограничить половую жизнь.
Немедленно вызовите скорую помощь, указав по телефону какой вид операции Вы перенесли. Затем перезвоните врачу, который делал операцию.
Как лечить такое состояние?
Тактика терапии определяется наличием или отсутствием симптомов.
Если симптомов нет
Лечение не проводится. Практикуется наблюдение терапевтом, кардиологом и педиатром, проведение УЗИ для оценки динамики состояния овального окна.
При условии, что симптоматика не является выраженной, однако есть риск развития инсульта, ишемической атаки, инфаркта, болезней нижних конечностей, следует принимать курсы препаратов, разжижающих кровь — , Клопидогрель, .
Если симптомы проявляются
Проводится оперативное лечение, чтобы закрыть этот дефект окклюдирующим устройством. Такое лечение практикуется, если отмечен выраженный сброс крови справа налево, если существует повышенный риск парадоксальной эмболии. Также практикуется как профилактика, если открыто овальное окно у водолазов.
Специальное устройство прикрепляется на катетер, после чего его через бедренную вену его вводят в полость сердца. Во время хирургического вмешательства практикуется визуальный рентгенконтроль. После введения с помощью катетера в овальное окно окклюдера это устройство раскрывается как зонтик и закрывает отверстие. С помощью такого метода лечения можно значительно улучшить качество жизни людей с этой проблемой.
В настоящее время ученые практикуют и другие методы лечения – например, специальный рассасывающийся пластырь. Он закрепляется на овальное окно, и на протяжении месяца стимулирует естественный процесс заживления дефицита тканей. После этого пластырь рассасывается. Такой метод позитивен тем, что дает возможность избежать воспалительного процесса тканей вокруг окклюдера.
Открытое овальное окно в сердце представляет собой небольшое отверстие, находящееся в перегородке непосредственно между правым и левым предсердиями. В норме они не должны сообщаться друг с другом, чтобы не происходило смешения артериальной и венозной крови, а также перепадов давления. Данное состояние является патологическим явлением у взрослых людей и детей определенного возраста и встречается очень часто. Иногда заболевание не вызывает серьезного физического дискомфорта, но в некоторых случаях оно способно приводить к различным нарушениям в работе сердечно-сосудистой системы и требует лечения.
Наличие углубления овальной формы является нормой, поскольку во время беременности, пока легкие плода не функционируют и его организму требуется дополнительный приток кислорода, кровь перебрасывается в левое предсердие через данное отверстие. Отсутствие такого протока в процессе внутриутробного развития может приводить к различным аномалиям и даже гибели ребенка до рождения или сразу после него.
Когда младенец совершает свой первый вдох, запускается работа дыхательной системы, и его легкие моментально расправляются. Увеличившееся давление в левой половине сердца прекращает поступление крови через овальное отверстие.
У новорожденного ребенка овальное окно в сердце должно закрываться в течение нескольких дней или недель. Но очень часто во время очередного планового медицинского осмотра обнаруживается, что этого не произошло, и врач сообщает родителям о патологических отклонениях в развитии сердечно-сосудистой системы грудничка. Незакрытое овальное окно в большинстве случаев требует определенного лечения, но известный детский педиатр Е.О. Комаровский советует родителям не поддаваться панике и не прибегать к радикальным мерам. В своих работах он подчеркивает тот факт, что практически у половины всех новорожденных не происходит резкого закрытия отверстия в сердечной перегородке и оно может оставаться долгое время открытым, вплоть до пятилетнего возраста.
Несмотря на то, что незакрытый проход в перегородке между двумя предсердиями до некоторого времени может считаться вариантом нормы, существуют и другие факторы возникновения физического дефекта. Они могут служить причиной развития различных патологических изменений в работе сердечной мышцы. К таким факторам относятся:
- курение и употребление алкогольных напитков во время беременности;
- различные пороки внутриутробного развития (в том числе заражение инфекциями);
- несогласованный с врачом прием препаратов;
- наследственный фактор.
Если ребенок родился недоношенным, то это тоже повышает риск того, что отверстие в сердце не зарастет, и через него слабой пульсацией будет осуществляться переброс крови. При различных аномалиях в строении и развитии сердечной мышцы, может произойти резкое открытие соединившегося ранее овального окна из-за временного растяжения камер левого и правого предсердий.
Лечение
Терапия зависит от состояния пациента. В отсутствии выраженной клинической картины, объективных функциональных нарушений, которые были бы подтверждены инструментальным путем, возможен выбор выжидательной тактики.
Отсутствие какой-либо динамики в течение нескольких лет дает основание говорить о варианте физиологической нормы. Лечение в таком случае не нужно.
Все остальные ситуации требуют оперативной терапии. В срочном порядке при развитии острой сердечной недостаточности, опасных аритмий и прочих подобных явлений, угрожающих жизни человека.
Плановое вмешательство практикуется чаще. Врачи имеют возможность подготовить пациента, стабилизировать его состояние, чтобы минимизировать риски.
Применяют медикаменты нескольких фармацевтических групп:
- Антиаритмические. Для купирования опасных нарушений ЧСС. Обычно ограничиваются Амидароном.
- Кардиопротекторы. Защищают сердце, нормализуют обмен веществ в миокарде, предотвращают деструкцию клеток-миоцитов.
- Антигипертензивные. Для снижения артериального давления. По показаниям. Если АД нормальное этот пункт пропускают. Назначаются бета-блокаторы, антагонисты кальция, средства центрального действия.
Подготовка длится около 3-4 месяцев. Плюс-минус. Операция требует кратковременного продолжения приема препаратов.
Хирургическое закрытие овального окна проводится эндоваскулярным методом, без рассечения грудной клетки. Через бедренную вену подается тонкий катетер, который через сосудистую сеть проводится до правого предсердия.
По достижении межпредсердной перегородки, через катетер вводят так называемый окклюдер (или графт), который представляют собой искусственную «заплатку». Затем расправляют его, тем самым закрывая отверстие.

Внимание:
Недостатком метода является местная воспалительная реакция, которая редко, но случается.
Выход из ситуации есть — рассасывающийся пластырь BioStar. Это временная заплатка, которая вводится так же через катетер и раскрывается в форме зонтика.
Она способна стимулировать естественную регенерацию клеток и рассасываться течение 30 дней, когда дефект полностью зарастет собственными тканями.
В течение всего реабилитационного периода показано тщательное наблюдение за состоянием больного.
Если речь о взрослых — отказ от курения, спиртного, нормализация рациона (меньше жирного, жареного, никаких консервов и полуфабрикатов, соль до 7 граммов), качественный сон, прогулки на свежем воздухе.
Для точности нужно отметить. Лечение указанной аномалии требуется в минимальном числе случаев. Обычно человек даже не подозревает, что имеется какая-то проблема.
Диагностические признаки
Для постановки диагноза физикальных методов обследования у педиатра и недостаточно. Полную информацию о состоянии перегородки между предсердиями может дать только аппаратная диагностика.
Перунова Е.Р., кардиолог, «Клиника 4 управления», г. Самара
Если овальное окно остается открытым у детей старше 5 лет, то при отсутствии симптоматики никакого лечения проводить не требуется.
Надо только ежегодно контролировать состояние сердца при помощи Эхо-КГ.
Никаких ограничений в плане физических нагрузок не требуется. Только запрещено заниматься и нырянием. После простудных заболеваний с высокой температурой обязательно консультируйте ребенка у педиатра и кардиолога.
Для этого применяются:1
Ультразвуковое исследование
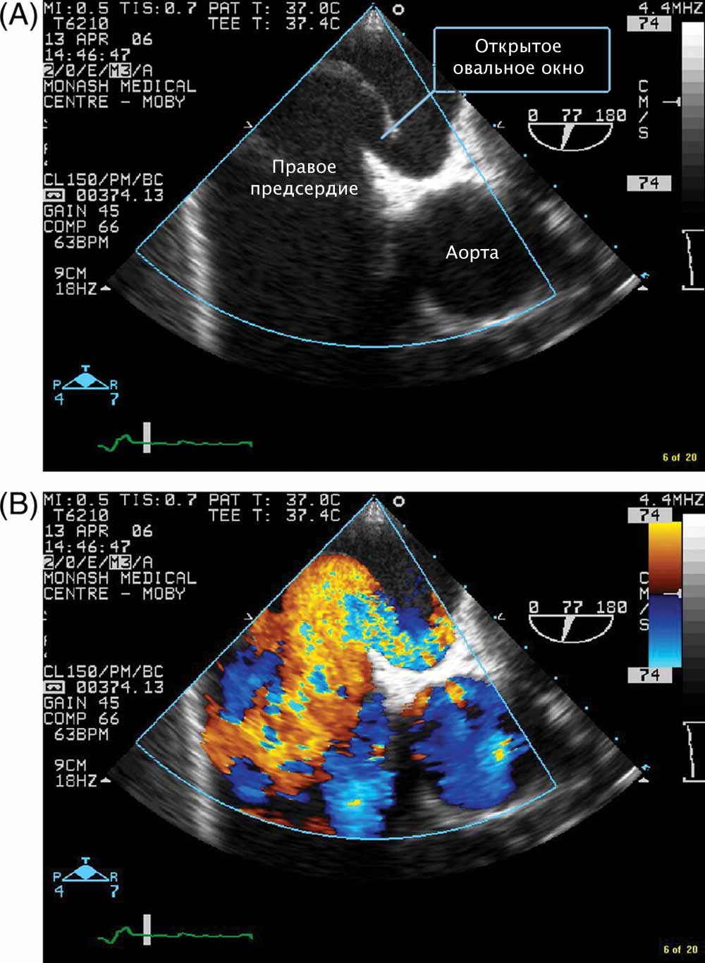
. При этом методе можно определить не только наличие незакрытого овального окошка, но и направление аномального потока крови в сердечных камерах, а также измерить ее объем. Также УЗИ покажет истонченную перегородку между предсердиями и определит состояние клапана шунта и степень его сращения с перегородкой. Диагноз ставится при наличии степени открытия величиной 2-5 мм в диаметре.2
Контрастная эхокардиография
. Для этого обследования внутривенно вводится предварительно взболтанный физиологический раствор. При наличии незаращенного окошка будет фиксироваться попадание микроскопических пузырьков в левое предсердие из правого.3
Электрокардиография
укажет на косвенные признаки: аритмию, утолщение мышечной стенки правого желудочка.4
Чрезпищеводная эхокардиография
. Также дает возможность рассмотреть состояние овального окошка и измерить его пропускные свойства. Помимо этого, ЧПЭхоКГ позволит провести дифференциальную диагностику между аномальным развитием окошка и настоящим пороком развития перегородки между предсердиями. Этим методом также можно выявить начинающиеся осложнения патологии.
Чем опасна патология?
Людям из группы риска следует избегать тяжелых физических нагрузок, а также выбора таких профессий, как аквалангист, водолаз, дайвер. Доказано, что при наличии этой патологии вероятность развития кессонной болезни в 5 раз, чем среди здорового населения.
Кроме того, у данной категории лиц возможно развитие такого феномена, как парадоксальная эмболия. Данное явление возможно у людей со склонностью к тромбообразованию в сосудах нижних конечностей. Тромб, оторвавшийся от стенки сосуда, может через овальное отверстие попасть в большой круг кровообращения. В результате возможна закупорка сосудов мозга, сердца, почек и других органов
Если размеры тромба велики, то это может стать причиной смерти.
Важно помнить, у людей с открытым овальным окном выше вероятность развития такого заболевания, как септический эндокардит. Связано это с тем, что на стенках клапанной заслонки могут образовываться микротромбы.
Часто задаваемые вопросы
Каким способом производится обезболивание при операции?
Анестезия может быть как местной, так и общей. Выбор зависит от решения врачей, которые будут проводить эту операцию. Если пациент хорошо переносит общий наркоз, то вполне возможен этот вариант, чтобы исключить волнение и неприятные ощущения.
Как осуществляется контроль за выполнением эндоваскулярного вмешательства?
Достаточно часто требуется уточнение строения дефекта, тогда на этом этапе выполняют ангиографию – рентгеноконтрастное исследование сосудов. Окклюдер подбирают индивидуально, его помещают в катетер и доводят до сердца. Затем, под контролем с помощью видеоизображений, производится установка и раскрытие окклюдера.
Если требуется дополнительный контроль над работой сердца, то используют эхокардиограф с датчиком, помещаемым в пищевод. Чреспищеводная Эхокардиография позволяет наблюдать за состоянием сердечной мышцы в режиме реального времени.
Как проводится реабилитация после манипуляции?
Общий срок проведения операции – не более 1,5-2 часов. Обычно процедура занимает около часа. Госпитализация производится на срок от суток до недели – зависит от индивидуального состояния пациента. После операции назначают прием антикоагулянтов – препаратов, препятствующих образованию тромба, а также антибиотиков, которые позволяют избежать бактериальной инфекции сердца.
Если в послеоперационном периоде не возникает осложнений, то требуется контрольное обследование через 3-4 недели. Иногда возникают такие симптомы, как боли и одышка. При появлении осложнений необходимо обратиться к лечащему врачу – при правильно проведенной операции побочные эффекты не развиваются.

























































