SQLITE NOT INSTALLED
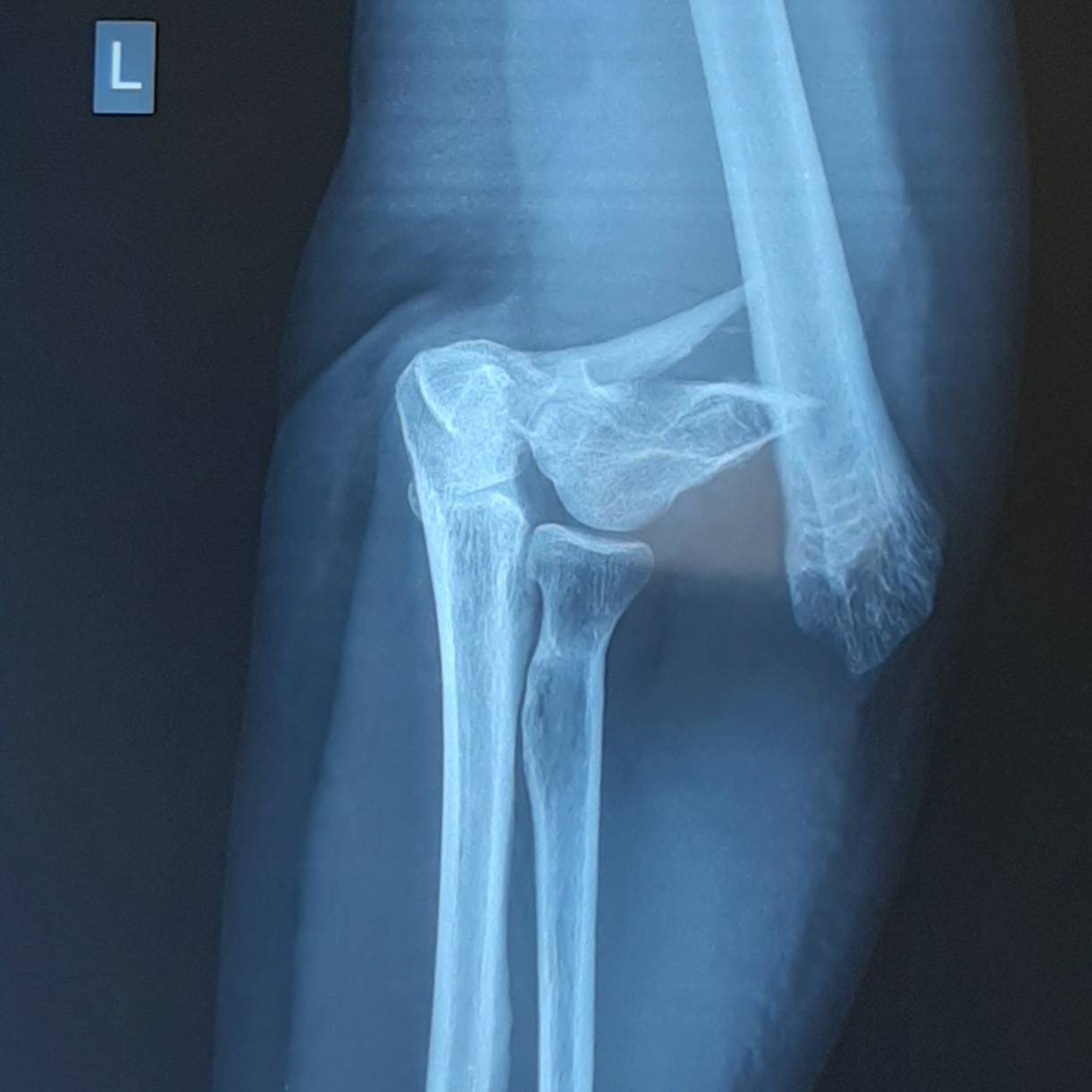
Переломы проксимального отдела (верхней трети) локтевой кости.

В области верхней трети локтевой кости наиболее распространен перелом локтевого отростка. Этот перелом может быть изолированным или сочетаться с вывихом головки лучевой кости. Такое повреждение в медицинской литературе называют перломо-вывих Монтеджи. При изолированном переломе локтевого отростка под воздействием тяги трицепса прикрепляющейся к нему значительно смещает отломки. Консервативными методами в гипсе подобные смещения устранить не представляется возможным, поэтому лечение чаще всего хирургическое. Целью операции является точное восстановление суставной поверхности локтевой кости, а также стабильная фиксация отломков во время реабилитации после операции до сращения перелома.

Локтевой отросток находится под кожей, поэтому доступ к нему и сопоставление отломков обычно не представляет особых сложностей. Перелом при простых переломах чаще всего фиксируется парой спицей и проволокой, после операции можно сразу приниматься за разработку движений в суставе.
Исключение составляют многоскольчатые переломы в области верхней трети локтевой кости и локтевого отростка. Многооскольчатые внутрисуставные переломы верхней трети локтевой кости обычно с отрывом венечного отростка фиксируются специально сконструированными пластинами и винтами, только таким способом удается восстановить нормальные анатомические соотношения в суставе.

Спицы удаляют обычно через 4-6 месяцев после операции, при условии сращения перелома на рентгене. Пластины, как правило, удаляют через 12-24 месяцев.
При повреждении Монтеджи перелом верхней трети локтевой кости сопутствует вывиху или перелому головки и шейки лучевой кости.
Online-консультации врачей
| Консультация гастроэнтеролога детского |
| Консультация гинеколога |
| Консультация массажиста |
| Консультация сексолога |
| Консультация специалиста банка пуповинной крови |
| Консультация сурдолога (аудиолога) |
| Консультация аллерголога |
| Консультация вертебролога |
| Консультация хирурга |
| Консультация специалиста по лечению за рубежом |
| Консультация проктолога |
| Консультация доктора-УЗИ |
| Консультация офтальмолога (окулиста) |
| Консультация генетика |
| Консультация сосудистого хирурга |
Новости медицины
Футбольные фанаты находятся в смертельной опасности,
31.01.2020
«Умная перчатка» возвращает силу хвата жертвам травм и инсультов,
28.01.2020
Назван легкий способ укрепить здоровье,
20.01.2020
Топ-5 салонов массажа в Киеве по версии Покупон,
15.01.2020
Новости здравоохранения
Глава ВОЗ объявил пандемию COVID-19,
12.03.2020
Коронавирус атаковал уже более 100 стран, заразились почти 120 000 человек,
11.03.2020
Коронавирус атаковал 79 стран, число жертв приближается к 3200 человек,
04.03.2020
Новый коронавирус атаковал 48 стран мира, число жертв растет,
27.02.2020
Классификация переломов
- По локализации перелома
- Переломы верхних отделов плечевой кости (проксимального отдела)
- Переломы средней части плеча (диафиза)
- Переломы нижних отделов плечевой кости (дистального отдела)
Перелом плеча в его верхних отделах может быть внутрисуставным (надбугорковым) и внесуставным (подбугорковым).
Основная статья: Перелом кости
- По тяжести поражения
Полные.
-
- Без смещения (например, под надкостницей).
- Со смещением отломков (осколки кости)
Неполные — трещины и надломы.
- По целостности кожного покрова
- Закрытые — не сопровождаются ранениями тканей.
- Открытые — сопровождающиеся ранениями мягких тканей.
- По осложнениям
Осложнённые:
-
- травматическим шоком.
- кровотечением.
- жировой эмболией.
- раневой инфекцией, остеомиелитом, сепсисом.
Неосложнённые.
Анатомия локтевого сустава

Плечевая, локтевая и лучевая кость образуют локтевой сустав. На самом деле локтевой сустав состоит из двух суставов. Первый представляет собой соединение между плечевой костью с одной стороны и костями предплечья с другой стороны. Благодаря этому суставу осуществляется сгибание и разгибание в локтевом суставе, например сгибание в локте при подъеме сумки с пола. Во втором суставе соединяется верхняя треть локтевой кости и головка лучевой кости. Результатом движений в этом суставе является вращение лучевой кости вокруг локтевой. Работа этого сустава позволяет повернуть кисть ладонью вверх, это движение называется супинацией или ладонью вниз (пронация).

Нижняя треть плечевой кости, образующая сустав, имеет сложную форму. Диафиз плечевой кости чуть выше локтевого сустава разделяется на две колонны. Эти колонны поддерживают два мыщелка.

Их вы можете почувствовать, пальпируя мягкие ткани по обе стороны локтевого сустава. В области мыщелков имеются множества выступов и борозд, в них плотно сочленяются и движутся относительно плечевой кости верхние концы локтевой и лучевой кости.

Суставная поверхность плечевой кости покрыта суставным хрящом. Суставной хрящ — это ткань белого цвета, очень гладкая и скользкая, она приспособлена для защиты костей, перемещающихся в суставе друг относительно друга. Благодаря суставному хрящу движения в суставе плавные и безболезненные. Суставной хрящ очень плохо кровоснабжается. Питание суставной хрящ получает из омывающей его суставной синовиальной жидкости. При переломах в области локтевого сустава очень часто происходит значительное повреждение суставного хряща. Только точная репозиция отломков позволяет восстановить суставные поверхности. Восстановление суставных поверхностей самая главная задача при лечении подобных переломов. То как сустав и вся рука будет функционировать в дальнейшем, будет зависеть насколько успешно решится задача восстановления.

Верхний конец локтевой кости имеет форму крючка. Этот крючок называется локтевой отросток. Он помещается в соответствующую борозду на плечевой кости и движется в ней. Перелом локтевого отростка очень частая травма у человека.
Верхний конец лучевой кости называется головка лучевой кости. Головка лучевой кости имеют форму барабана, что обеспечивает ее вращение относительно плечевой и локтевой кости. Та часть, которая соприкасается с плечевой костью, слегка вогнута и соответствует соприкасающейся с ней закругленной частью плечевой кости, которая называется головкой плечевой кости. Эти кости находятся в контакте во время сгибания и разгибания в локтевом суставе.

Головка лучевой кости полностью покрыта хрящом. Она также сочленяется с верхней третью локтевой кости и вращается вокруг нее. Это сочленение называется проксимальный луче-локтевой сустав. Во время движения в этом суставе кисть может поворачиваться ладонью вверх или вниз
Головка лучевой кости удерживается возле локтевой кости в этом суставе благодаря важному анатомическом образованию, которое называется круглая связка

При переломах головки лучевой кости очень часто нарушается ее кровоснабжение. Лишенная питания головка лучевой кости в дальнейшем может разрушиться.
Локтевой сустав очень стабильное соединение. Стабильность в основном обеспечивают очень сильные связки, которые проходят по обеим сторонам сустава. Связки в области локтевого сустава очень прочные, поэтому вывихи в локтевом суставе крайне редки. Мышцы, которые пересекают локтевой сустав также способствуют его стабильности. Основные из них двуглавая мышцы плеча (бицепс) и трехглавая мышца (трицепс). Бицепс прикрепляется к лучевой кости и обеспечивает сгибание в локтевом суставе. Трицепс крепится к локтевому отростку и выполняет разгибание в локтевом суставе.

Переломы плечевой кости
Различают переломы проксимального конца плечевой кости, диафиза и дистального конца. Переломы проксимального конца плечевой кости бывают внутрисуставными (переломы головки и анатомической шейки, у детей — эпифизеолиз) и внесуставными (изолированные переломы большого или малого бугорка, хирургической шейки). Возникают они вследствие прямой (удар) или косвенной (падение на локоть или кисть) травмы.
Внутрисуставные переломы. Переломы головки плечевой кости встречаются довольно редко, бывают в виде двух или более отломков. Переломы анатомической шейки чаще. Смещение отломков в этих случаях зависит от механогенеза и силы травмы.
При сильном ударе головка плечевой кости разбивается, а при переломе анатомической шейки она разворачивается в полости сустава и зажимается вследствие рефлекторного сокращения длинных мышц плеча. От силы, действующей по оси плеча, отломки могут сбиваться вместе.
Диагностика. При осмотре отмечают припухлость плечевого сустава, обусловленное кровоизлиянием в сустав (гемартрозом) и отеком тканей. Пальпаторно головка плечевой кости вследствие смещения на своем месте может и не прощупываться, а место перелома определяют по месту максимальной боли. Активные движения через боль невозможны, а пассивные ограничены и также вызывают резкую боль. При убитых переломах эти симптомы недостаточно выражены, поэтому локализацию и характер перелома определяют рентгенологически.
Лечение больных с внутрисуставными переломами проксимального конца плечевой кости в зависимости от характера перелома и возраста больного может быть консервативным и оперативным. При переломах без смещения отломков или их убиение применяют кратковременную иммобилизацию руки на клиновидной подушке при отведенном на 60 ° плече и передней девиации (на 25 °) с ранним функциональным лечением. Такое же лечение можно применять независимо от степени смещения отломков по больных пожилого возраста, которым помешали бы определенного рода повязки (тяжелые или такие, что сжимают грудную клетку).
Эпифизеолиз со смещением в ширину и под углом требует идеальной репозиции для хорошего сращения и сохранения нормального роста кости. Вправление проводят под наркозом с последующей фиксацией гипсовой повязкой сроком 10-18 дней.
При переломах головки и анатомической шейки плечевой кости, не управляются (у лиц физически сильных и молодого возраста), применяют оперативное лечение. Операция заключается в репозиции отломков и связывании их винтом или спицами Киршнера, которые проводят через кожу и большой бугорок. Спицы через 2-3 недели удаляют и переходят к разработке движений в плечевом суставе. При раздробленных переломах головки отломки выбрасывают и обрабатывают поверхность дистального отломка с перекрытием его по типу артропластики (консервированные оболочки) для восстановления движений в суставе. Артродез, который применяли ранее, не нашел поддержки у большинства специалистов.
Значительно лучшие результаты получают при эндопротезировании головки плечевой кости (пластмасса, керамика, металл).
Виды переломов

Травматические – появляются по причине повреждения костей, что приводит к изменению формы, целостности и структуры. Тяжелые травмы могут появиться вследствие ДТП, падения, ударов в контактных видах единоборств или в профессиональном спорте.
Патологические – возникают из-за нарушения плотности костей. Часто происходят при таких заболеваниях как и остеомиелит. В группу риска попадают пожилые люди и дети, так как в их организме часто наблюдается недостаток кальция.
Также происходит разделение на полные и неполные переломы. При полных наблюдается смещение костей и проникновение осколков в мягкие ткани, а при неполных частичное разрушение костной ткани из-за ударов (образуются трещины).
Всего существует 6 видов переломов, которые зависят от направления повреждения кости:
- Винтообразные – происходит проворачивание костей.
- Оскольчатые – это травмы, которые сопровождаются дроблением костей и проникновением осколков в мягкие ткани.
- Поперечные – линия перелома примерно перпендикулярна оси трубчатой кости.
- Клиновидные – кости вдавливаются друг в друга при ударе.
- Продольные – линия перелома примерно параллельна оси трубчатой кости.
- Косые – на снимке виден прямой угол между осью кости и линией перелома.
Открытый перелом
Легко определяется , поскольку осколки кости отчетливо видны из-за разрыва мягких тканей. Это самая тяжелая степень, потому что в открытую рану быстро проникают инфекции и болезнетворные бактерии. При несвоевременном обращении к врачу может начаться развитие гангрены. Если не начать лечение, то возможен летальный исход.
Закрытый перелом
Характеризуется нарушением целостности кости без разрыва мягких тканей и проникновения инфекции. Часто наблюдается смещение костей, поэтому для точной диагностики специалисты используют рентгенографию. В эту категорию также входят трещины, которые вызывают острую боль и нарушают подвижность конечности. Если не проводить лечение трещины, то возможна деформация костной ткани.
Первая помощь
При подозрении на перелом нужно обеспечить пострадавшему полный покой, обездвиживание, надежную фиксацию области предполагаемого перелома. Например, руку можно уложить в косынку, примотать бинтами или обрывками одежды к туловищу, плотной доске или куску арматуры. Ногу можно прибинтовать к арматуре, к доске, к здоровой ноге.
Диагностика
Повреждение костей легко выявляется во время рентгенографии. На рентгеновских снимках хорошо видна трещина или линия перелома. Если возникают сомнения, то проводят – исследование, которое помогает еще более точно и детально оценить состояние костей.
Наши врачи

Марина Виталий Семенович
Врач травматолог-ортопед, заведующий службой малоинвазивной травматологии и ортопедии
Стаж 36 лет
Записаться на прием

Самиленко Игорь Григорьевич
Врач травматолог — ортопед, врач высшей категории
Стаж 24 года
Записаться на прием

Третьяков Антон Александрович
Врач травматолог-ортопед
Стаж 8 лет
Записаться на прием

Зубиков Владимир Сергеевич
Врач травматолог-ортопед, доктор медицинских наук, врач высшей категории, профессор
Стаж 44 года
Записаться на прием

Полтавский Дмитрий Ильич
Врач травматолог-ортопед
Стаж 28 лет
Записаться на прием
Лечение

- При трещинах и обычных переломах без смещения накладывают гипсовую лонгету. Срок ее ношения зависит от того, какая кость пострадала, в среднем – 2 – 4 недели.
- При переломах со смещением может быть проведена закрытая репозиция: под местным или общим наркозом врач сопоставляет отломки и сразу накладывает гипсовую лонгету.
- Иногда может быть проведено скелетное вытяжение: через отломок кости проводят спицу, к которой подвешивают груз.
- При сложных переломах со смещением может быть проведена открытая репозиция и остеосинтез: врач делает разрез, сопоставляет отломки и скрепляет их при помощи различных металлических конструкций.
- Иногда показано наложение аппарата Илизарова или аналогичных аппаратов: через прокол кожи и отломки костей проводят спицы, а затем на них собирают металлический аппарат, который обеспечивает правильную конфигурацию кости.
- Другие виды остеосинтеза.
Услуги ортопедии и травматологии в ЦЭЛТ
| Название услуги | Цена в рублях |
|---|---|
| Прием врача хирургического профиля (первичный, для комплексных программ) | 2 700 |
| Рентгенография костей и суставов конечностей | 2 200 |
| Гипсовая повязка | 2 500 |
- Эпикондилит
- Плече-лопаточный периартрит
Оперативное лечение перелома лучевой кости в типичном месте (остеосинтез)
Практически все переломы лучевой кости со смещением требуют оперативного лечения – сопоставления и фиксирования отломков кости — остеосинтеза. Именно этот метод позволяет восстановить функцию кисти наиболее полноценно и добиться хороших функциональных результатов.
Лучевая кость полностью срастается примерно за 6-8 недель. Спустя этот срок пациент может начинать полноценно пользоваться рукой. Но разрабатывать руку с помощью определенных, рекомендованных врачом, упражнений, благодаря использованию фиксаторов можно уже спустя 1-2 недели после вмешательства. Легкие спортивные физические нагрузки можно начинать примерно спустя 3 месяца после операции.
В зависимости от типа перелома (оскольчатый, многооскольчатый, со значительным или незначительным смещением) можно выделить несколько возможных вариантов фиксации – пластиной, фиксированной винтами; аппаратом внешней фиксации; винтами; спицами.
В ряде случаев при выраженном отеке накладывается аппарат внешней фиксации, а после спадения отека он заменяется на пластину (или другой фиксатор в зависимости от типа перелома).
Остеосинтез лучевой кости пластиной
При значительном смещении отломков используется остеосинтез лучевой кости металлической пластиной, специально изготовленной для данного сегмента. После сопоставления отломков пластина фиксируется винтами к поврежденной кости. После установки пластины накладываются на кожу накладываются швы на 2 недели, а также гипсовая лонгета примерно на тот же срок. После операции назначается лекарственная терапия: обезболивающие препараты, препараты кальция для более быстрого срастания костей, при необходимости – препараты местного действия для уменьшения отека. Средний срок пребывания в стационаре – 7 дней. Швы снимаются в амбулаторном режиме спустя 2 недели. Рука носится в возвышенном положении на косыночной повязке. Необходимости в удалении пластины нет.
Аппарат внешней фиксации
В ряде случаев – в пожилом возрасте, при выраженном отеке кисти и лучезапястного сустава, делать доступ для установки пластины бывает нежелательно в силу различных факторов (отек, состояние кожи). В таких случаях устанавливают аппарат внешней фиксации – он фиксирует отломки с помощью спиц, которые проходят через кожу в кость. Аппарат выступает над кожей небольшим блоком (около 12 см длиной и 3 см высотой). Преимущество этого вида остеосинтеза в том, что нет необходимости делать большие разрезы, однако за аппаратом нужно следить – делать перевязки, чтобы спицы не воспалились.
После операции рука 2 недели находится в лонгете, потом пациент начинает разрабатывать лучезапястный сустав в аппарате, который этому не препятствует.
Аппарат внешней фиксации удаляется примерно через 6 недель, после рентген-контроля, в условиях стационара. Операция снятия аппарата внешней фиксации не занимает много времени и достаточно легко переносится пациентом. Средний срок госпитализации 5-7 дней, длительность больничного листа – около 1,5 месяцев. Перевязки надо делать через день, в амбулаторном режиме. Рука носится в возвышенном положении на косыночной повязке.
Фиксация спицами, или винтами
При незначительном смещении отломков лучевая кость фиксируется спицами или винтами через небольшие проколы кожи. Примерно на 2 недели накладывается гипсовая лонгета, затем человек начинает разрабатывать руку. Спустя 6-8 недель спицы извлекаются.
В ряде случаев возможно применение саморассасывающихся имплантов, удалять которые не нужно.
К каким докторам следует обращаться если у Вас Переломы мыщелка плеча:
- Травматолог
- Хирург
Вас что-то беспокоит? Вы хотите узнать более детальную информацию о Переломов мыщелка плеча, ее причинах, симптомах, методах лечения и профилактики, ходе течения болезни и соблюдении диеты после нее? Или же Вам необходим осмотр? Вы можете записаться на прием к доктору – клиника Eurolab всегда к Вашим услугам! Лучшие врачи осмотрят Вас, изучат внешние признаки и помогут определить болезнь по симптомам, проконсультируют Вас и окажут необходимую помощь и поставят диагноз. Вы также можете вызвать врача на дом. Клиника Eurolab открыта для Вас круглосуточно.
Как обратиться в клинику:
Телефон нашей клиники в Киеве: (+38 044) 206-20-00 (многоканальный). Секретарь клиники подберет Вам удобный день и час визита к врачу. Наши координаты и схема проезда указаны здесь. Посмотрите детальнее о всех услугах клиники на ее персональной странице.
Хирургическое лечение переломов мыщелков плеча.
При наличии необходимого оснащения операционной и адекватных хирургических навыков переломы мыщелков плеча в большинстве случаев требуют оперативного лечения. Операция может быть проведена в положении пациента на животе, на боку, а также в положении на спине при возможности поворота операционного стола вокруг продольной оси на 20-30 градусов.
Для адекватной визуализации чаще всего используется доступ с остеотомией локтевого отростка, так как он обеспечивает максимально хорошую визуализацию как мыщелков плеча так и всего блока плечевой кости. При этом доступе производится шевронная остеотомия локтевого отростка, который после выполнения остеосинтеза мыщелков плеча фиксируется спицами и проволочной петлёй по Веберу.
После выполнения остеотомии и бережной сепарации сухожилия трицепса, необходимо выделить локтевой нерв и взять его на держалку, для профилактики его повреждения при выполнении остеосинтеза.

После мобилизации всех отломков становится понятно произошло ли смятие кости, и есть ли возможность адекватного восстановления суставной поврехности, при наличии значительного дефекта кости может потребоваться костная пластика, в случае если этот дефект включает в себя большую часть блока плечевой кости как альтернативный вариант может расматриваться первичное эндопротезирование локтевого сустава.
Мыщелки плеча представляют собой треугольник, стороны которого образованы двумя колоннами и суставной поверхностью, с отверстием для локтевого отростка в центре. При остеосинтезе перелома мыщелков плеча необходимо восстановить все 3 стороны этого треугольника.
В первую очередь восстанавливается суставная поверхность. При отсутсвии сминания кости, или утерянных фрагментов, блок и головчатое возвышение могут быть соединены 2 компрессирующими винтами. Сначала фрагменты временно фиксируются спицами киршнера и костными цапками, так называемая прелиминарная фиксация.

После достижения удовлетворительной репозиции через блок параллельно его длинной оси проводится 1-2 компрессирующих винта.
Следующим этапом уже «собранный» блок фиксируется к медиальной и латеральной колоннам спицами, а потом уже вся эта конструкция при помощи пластин фиксируется к диафизу плечевой кости.

В том случае, когда вы имеете дело с оскольчатым переломом мыщелков плеча, хочется иметь максимально крепкие и надёжные импланты, которые обеспечат максимальную стабильность конструкции даже в условиях остеопорозной, рыхлой кости. Премоделированные анатомичные пластины фирмы Synthes отлично подходят для этой цели.

После установки винтов спицы удаляются, так как они уже выполнили свою функцию. Перелом мыщелков плеча надёжно фиксирован винтами и двумя пластинами с угловой стабильностью.

Последним этапом выполняется остеосинтез остеотомированного локтевого отростка спицами и проволочной петлёй по Веберу и послойное ушивание раны.


Такой остеосинтез достаточно надёжен для того, чтобы начать реабилитационные мероприятия уже на следующий день после операции. Ранняя мобилизация локтевого сустава препятствует образованию спаек и позволяет восстановить максимально возможную амплитуду движений в локтевом суставе, что и является целью лечения.
Ещё один клинический пример остеосинтеза тяжёлого перелома мыщелков плеча с использованием пластин с угловой стабильностью Synthes.
Пациентка Х, 54 лет, получила внутрисуставной Y-образный перелом мыщелков плеча. Смещение костных отломков настолько значительно, что диафиз плечевой кости близок к тому чтобы перфорировать кожу.

В случае настолько грубого смещения при первичном осмотре целесообразно выполнить анестезию перелома и устранить смещение с фиксацией конечности в задней гипсовой лонгтеной повязке. После обследования и предоперационной подготовки пациентка взята в операционную. Выполнен остеосинтез при помощи пластин с угловой стабильностью Synthes.

Послеоперационные рентгенограммы показывают, что смещение отломков полностью устранено, нормальные взаимоотношения костей верхней конечности восстановлены.

В ходе операции необходимо оценивать стабильность остеосинтеза к движениям в суставе, так как послеоперационный протокол предполагает раннюю нагрузку уже через 1-2 дня после операции. Ранние движения в суставе препятствуют образованию грубых рубцов и спаек, которые в противном случае могут вызвать стойкое ограничение движений в суставе.
Видео с оценкой движений и стабильности после проведенной операции остеосинтеза.

























































