SQLITE NOT INSTALLED
Виды МРТ-исследований
Наиболее востребованными являются следующие виды МРТ-исследований:
- МРТ позвоночника. Позволяет оценить состояние спинного мозга, хрящей, связок и мышц спины. Выявляются нарушения кровообращения, последствия травм, аномалии развития, изменения межпозвонковых дисков и т.д. Может быть проведено МРТ-исследование конкретного отдела или всего позвоночника.
- МРТ суставов. Проводится исследование конкретного сустава: коленного, плечевого, тазобедренного. МРТ позволяет подробно изучить структуру суставного соединения, визуализировать внутрисуставные (мениски, суставная жидкость) и околосуставные образования (связки, мышцы). Диагностируются аномалии развития, воспалительные и дегенеративные изменения сустава, патологии околосуставных тканей.
- МРТ головного мозга. МРТ-исследование головного мозга отличается высокой чувствительностью и позволяет визуализировать оба полушария мозга, его стволовую часть, желудочковую систему и другие структуры. С помощью МРТ головного мозга могут быть вывялены сосудистые аномалии, расширение сосудов, кровоизлияния, опухоли, очаги воспаления и дегенерации, скопления жидкости и т.д.
- МРТ гипофиза. МРТ показывает состояние самого гипофиза и турецкого седла (анатомической области, в которой находится гипофиз). С помощью МРТ выявляются аденомы и другие повреждения гипофиза.
- МРТ-ангиография мозга. МРТ предоставляет возможность оценить состояние сосудов головного мозга без введения контрастного вещества. Это возможно, поскольку метод позволяет отличить вещество, находящееся в движении (кровь) от неподвижных структур (стенок сосудов).
- МРТ-холангиография – исследование проходимости желчных протоков. Исследуются внутрипеченочные протоки, пузырный проток и общий желчевыводящий проток, а также (частично) ткани печени и поджелудочной железы. Позволяет выявлять камни, полипы, опухоли и сужения желчных путей.
- МРТ предстательной железы. МРТ позволяет детально оценить структуру предстательной железы, выявить аденому простаты (доброкачественную гиперплазию), очаги воспаления и опухоли предстательной железы.
- МРТ органов малого таза (матки и яичников). МРТ позволяет обнаружить изменения в структуре тканей, эндометриоз, спайки, миомы, полипы, опухоли, помогает установить разновидность образования яичника.
Показания к процедуре
Вопрос, можно ли делать МРТ при беременности, однозначно имеет утвердительный ответ, однако любое диагностическое обследование должно выполняться с учетом показаний. Поводом для проведения МР-сканирования определенных областей тела может быть:
- Подозрение на серьезные пороки развития плода (например, признаки аномалий развития по данным УЗИ) для решения вопроса о прерывании беременности;
- Неудобное для визуализации с помощью ультразвука положение плода в матке;
- Другие проблемы с визуализацией плода, например, из-за избытка подкожной клетчатки на животе при ожирении.
Несмотря на общую безопасность метода, врачи все же стараются делать МРТ при беременности на ранних сроках только по экстренным показаниям. Причина – повышенная уязвимость плода перед огромным числом внешних факторов. Плод в первом триместре беременности особенно восприимчив к тератогенным факторам из-за активного развития зачатков всех органов и систем из очень небольшого количества делящихся клеток. Магнитное поле современных томографов может считаться безопасным для эмбриона. Но по понятным причинам доскональное исследование метода на статистически значимом количестве женщин в первом триместре беременности невозможно. Вывод: проходить МРТ беременным можно, но в первые месяцы желательно делать его только по экстренным показаниям.
Назначают ли МРТ при беременности?
Можно ли делать МРТ беременной женщине, обычно определяет лечащий врач. В подавляющем большинстве случаев этот метод является допустимыми. В некоторых ситуациях можно обойтись иными видами обследований. Однако если у вас имеется возможность выбирать метод диагностики, то лучше отдать предпочтение магнитно-резонансной томографии. Чтобы хотя бы примерно понять, можно ли делать МРТ конкретной беременной женщине, предлагаем ознакомиться с нижеизложенной информацией.
Показания
МРТ головы, шейного отдела, таза при беременности обязательно назначают в следующих случаях:
- подозрение на патологию внутриутробного развития плода;
- наличие в организме женщины кист, добро- и злокачественных образований;
- нарушения в работе центральной нервной системы;
- ожирение, не позволяющее провести УЗИ-диагностику в третьем триместре.
Стоит обратить внимание на тот факт, что противопоказано прохождение МРТ женщинам на ранних сроках беременности, потому что нет достоверных данных о возможных последствиях для плода от процедуры
Противопоказания
Несмотря на то, что процедура является абсолютно безвредной, отдельным категориям пациентов ее проводить не станут. К противопоказаниям для проведения МРТ при беременности относят:
- наличие в теле кардиостимулятора и иных ферромагнитных конструкций;
- вес от 200 кг.
Определенные проблемы пациентка может испытывать в том случае, если она страдает клаустрофобией. Ни один врач, давший направление на МРТ при беременности, не сможет достоверно сообщить вам, окажет ли испытанный стресс вредное воздействие на ребенка или же все пройдет бесследно. Если есть возможность, узнайте, где можно пройти обследование на томографе открытого типа. Такой аппарат позволяет чувствовать себя максимально комфортно.
Когда нужен наркоз?

Анестезиолог будет следить за состоянием малыша во время медикаментозного сна
Где и как (под седацией или без) сделать МРТ ребенку, зависит от возраста пациента, клинической ситуации. Для получения качественных изображений важна максимальная неподвижность в течение 15-30 минут. Ребенок старше 5 лет в состоянии спокойно лежать во время диагностической процедуры и выполнять команды медперсонала. Для грудничков, детей младшего возраста нужен наркоз. Исследование под седацией выполняют в специализированных центрах в присутствии анестезиолога. Показания к медикаментозному сну:
- синдром гиперактивности;
- возраст до 5 лет;
- эпилепсия (риск развития судорожного припадка);
- клаустрофобия;
- выраженный болевой синдром;
- некоторые психические заболевания (шизофрения, болезнь Дауна, слабоумие и пр.).
Доза и вид седации будут зависеть от состояния ребенка и его возраста на момент проведения МРТ.
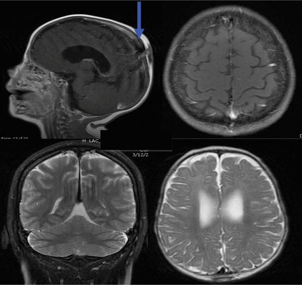
Что показывает МРТ головного мозга
Получив 3D-изображения головного мозга в разных проекциях, врач имеет возможность рассмотреть в деталях каждую его область. Это позволяет сделать выводы о:
-
процессах, протекающих в тканях головного мозга;
-
состоянии кровеносных сосудов;
-
наличии, расположении, формах и размерах новообразований, гематом или тромбов;
-
наличии, стадии и локализации других патологий головного мозга.

Если результаты оказались недостаточно точными или требуется дополнительная визуализация определенного участка, может быть назначена МРТ головного мозга с контрастированием. Введение контрастирующего препарата позволяет получить более точное представление о строении ткани мозга или патологического образования, уточнить его границы.
Результаты обследования позвоночника на томографе

По окончании исследования врач-рентгенолог должен расшифровать снимки и выдать заключение с результатами пациенту. Заключение содержит информацию о форме, размерах и плотности позвонков, наличии или отсутствии искривления, толщине жестких связок, о состоянии мягких тканях и наличии смещения позвонков. Информация, касаемая отклонений, аномалий в развитии позвоночника, а также патологических процессов описывается подробнее с указанием всех параметров и стадий.
Заключение по МРТ пояснично-крестцового отдела не является диагнозом. В дальнейшем больной должен предоставить это заключение своему лечащему врачу. Помимо заключения пациент получает распечатанные снимки, где зафиксировано то или иное отклонение, а также полную запись процедуры МРТ на диске.
Для постановки точного диагноза, а также для выявления динамики заболевания следует принести результаты предыдущих обследований МРТ пояснично-крестцового отдела. Также подойдут заключения, полученные по УЗИ, КТ или рентгену.
Гемодинамика
Значительная адаптация материнской сердечно-сосудистой системы изначально создает способность поддерживать адекватную маточно-плацентарную перфузию в течение всей беременности. К 8-недельному гестационному возрасту системное сосудистое сопротивление матери уже снижается на 10–30 % и достигает низшей отметки между 20 и 26 неделями беременности . Это снижение системного сосудистого сопротивления приводит к снижению среднего артериального давления , которое меняется с 26–28 недель, достигая значений, имевшихся до беременности, на сроках доношенной беременности . Основные механизмы периферической вазодилатации включают повышенную комплаентность сосудов, снижение реакции на сосудосуживающие агенты, такие как ангиотензин II, и повышение уровня сосудосуживающих агентов, таких как оксид азота . Снижение системного сосудистого сопротивления снижает постнагрузку и преднагрузку на сердце, что требует увеличения объема для компенсации. Снижение системного сосудистого сопротивления активирует ренин-ангиотензин-альдостероновую систему, вызывая задержку воды и натрия . Общее объемное расширение, в основном проявляющееся увеличением объема плазмы (на 1100–1600 мл по сравнению с контрольными значениями), может достигать 45 % и пропорционально росту плода . Соответственно, создается маточно-плацентарное кровообращение с низким сопротивлением, которое по мере постепенного снижения системного сосудистого сопротивления приводит к прогрессивному увеличению кровотока в плаценте, что соответствует растущим потребностям плода для роста и развития. Частота сердечных сокращений также повышается во время беременности, потому что низкая постнагрузка стимулирует барорецепторы в сердечно-легочной и почечной системах для активации симпатической нервной системы. Инициируется высвобождение катехоламинов, что повышает сократительную способность и частоту сердечных сокращений на 15–25 % в течение всей беременности . Эти изменения способствуют увеличению ударного объема на 20–30 % .
Сердечный выброс повышается как минимум на 30–50 % в первые два триместра беременности, но результаты в третьем триместре противоречивы . В период 26–30 недель адаптация сердечного выброса, по-видимому, по большей части завершена; по данным некоторых исследований, сердечный выброс остается стабильным, другие группы ученых сообщают о его незначительном увеличении или уменьшении . Анатомически увеличение преднагрузки и сократительной способности миокарда проявляется в увеличении массы левого желудочка (24–34 %), увеличении относительной толщины стенки (10 %) и увеличении диаметра левого предсердия (14 %) по сравнению с небеременными женщинами . В родах многие гемодинамические изменения достигают своего пика. Боль, стресс и физическая нагрузка приводят к повышению артериального давления, частоты сердечных сокращений и сердечного выброса . Сокращения матки еще более усиливают этот эффект, поскольку при каждом сокращении 300–500 мл крови возвращается из маточно-плацентарного кровообращения в системный кровоток. Сразу после родов ударный объем и сердечный выброс повышаются в результате аутотрансфузии (теперь уже постоянной) из маточно-плацентарного кровообращения и снятия аортокавальной компрессии . Предполагается, что характер этих физиологических изменений связан со сроками развития сердечно-сосудистых осложнений во время беременности (рис. 2). Анализ The Registry of Pregnancy and Cardiac Disease (Всемирного регистра беременностей у женщин с сердечно-сосудистыми заболеваниями) показал, что частота сердечной недостаточности впервые достигает пика при плато сердечного выброса в 26–30 недель . Второй пик как сердечного выброса, так и частоты сердечной недостаточности наступает после родов, когда аутотрансфузия крови из маточно-плацентарного кровообращения создает состояние перегрузки. Определенные пики сердечной недостаточности контрастируют с постепенным увеличением частоты преэклампсии на протяжении всей беременности (рис. 2).
Что показывает МРТ сосудов головного мозга
С помощью данного исследования можно:
- отследить посттравматические изменения (возможные контузии, кровоизлияния, гематомы и т.д.);
- обнаружить признаки/ отследить последствия инсульта;
- обнаружить признаки рассеянного склероза;
- выявить изменения, связанные с атеросклерозом сосудов;
- выявить нарушения мозгового кровообращения;
- выявить аномалии развития;
- обнаружить опасность образования тромбов в сосудах головы и шеи;
- выявить присутствие инфекции, воспаления, новообразования и мн.др.

1
МРТ сосудов головного мозга

2
МРТ сосудов головного мозга

3
МРТ сосудов головного мозга
Насколько часто можно делать МРТ?
Прежде чем разобраться,как часто можно делать МРТ, нужно понять,на чем основан этот метод и насколько он вреден для пациента.
Безопасна ли МРТ?
В настоящее время МРТ можно делать не только для исследования костной ткани и суставов, часто ее назначают как диагностику сосудов, нервной системы, мягких тканей, воспалений, опухолей. В отличие от других способов обследования, она является не только наиболее информативной, но и безопасной, так как томограф не излучает радиации.
Воздействие МРТ на организм
Магнитно-резонансная томография основана на принципе действия электромагнитных волн, которые, отражаясь от тканей, дают картину их состояния.
Компьютерная же томография – это воздействие рентгеновских лучей.При многократном проникновении они так же дают трехмерное изображение. Однако давно доказано, что рентгеновское излучение губительно воздействует на клетки человека. Электромагнитные волны такого влияния не оказывают и являются абсолютно безвредными. Поэтому, в отличие от МРТ, КТ можно делать не более двух раз в год, не чаще. При назначении КТ врачи отталкиваются от принципа «риск/польза», так как нанесенный вред может быть выше, чем положительный эффект от диагностики.
Как часто можно делать МРТ?
МРТ можно проходить так часто, как это необходимо. Она не несет радиационной нагрузки, а значит – абсолютно безопасна. Метод используют как при постановке диагноза, так и для контроля эффективности лечения и дальнейшей профилактики возможного рецидива.
Какое обследование самое опасное?
Для сравнения «вредности» различных видов рентгеновской диагностики можно воспользоваться средними показателями эффективных доз, приведенных в таблице. Это данные из методических рекомендаций № 0100/1659-07-26, утвержденных Роспотребнадзором в 2007 году. С каждым годом техника совершенствуется и дозовую нагрузку во время исследований удается постепенно уменьшать. Возможно в клиниках, оборудованных новейшими аппаратами, вы получите меньшую дозу облучения.
| Часть тела,
орган |
Доза мЗв/процедуру | |
|---|---|---|
| пленочные | цифровые | |
| Флюорограммы | ||
| Грудная клетка | 0,5 | 0,05 |
| Конечности | 0,01 | 0,01 |
| Шейный отдел позвоночника | 0,3 | 0,03 |
| Грудной отдел позвоночника | 0,4 | 0,04 |
| Поясничный отдел позвоночника | 1,0 | 0,1 |
| Органы малого таза, бедро | 2,5 | 0,3 |
| Ребра и грудина | 1,3 | 0,1 |
| Рентгенограммы | ||
| Грудная клетка | 0,3 | 0,03 |
| Конечности | 0,01 | 0,01 |
| Шейный отдел позвоночника | 0,2 | 0,03 |
| Грудной отдел позвоночника | 0,5 | 0,06 |
| Поясничный отдел позвоночника | 0,7 | 0,08 |
| Органы малого таза, бедро | 0,9 | 0,1 |
| Ребра и грудина | 0,8 | 0,1 |
| Пищевод, желудок | 0,8 | 0,1 |
| Кишечник | 1,6 | 0,2 |
| Голова | 0,1 | 0,04 |
| Зубы, челюсть | 0,04 | 0,02 |
| Почки | 0,6 | 0,1 |
| Молочная железа | 0,1 | 0,05 |
| Рентгеноскопии | ||
| Грудная клетка | 3,3 | |
| ЖКТ | 20 | |
| Пищевод, желудок | 3,5 | |
| Кишечник | 12 | |
| Компьютерная томография (КТ) | ||
| Грудная клетка | 11 | |
| Конечности | 0,1 | |
| Шейный отдел позвоночника | 5,0 | |
| Грудной отдел позвоночника | 5,0 | |
| Поясничный отдел позвоночника | 5,4 | |
| Органы малого таза, бедро | 9,5 | |
| ЖКТ | 14 | |
| Голова | 2,0 | |
| Зубы, челюсть | 0,05 |
Очевидно, что самую высокую лучевую нагрузку можно получить при прохождении рентгеноскопии и компьютерной томографии. В первом случае это связано с длительностью исследования. Рентгеноскопия обычно проводится в течение нескольких минут, а рентгеновский снимок делается за доли секунды. Поэтому при динамичном исследовании вы облучаетесь сильнее. Компьютерная томография предполагает серию снимков: чем больше срезов — тем выше нагрузка, это плата за высокое качество получаемой картинки. Еще выше доза облучения при сцинтиграфии, так как в организм вводятся радиоактивные элементы. Вы можете прочитать подробнее о том, чем отличаются флюорография, рентгенография и другие лучевые методы исследования.
Чтобы уменьшить потенциальный вред от лучевых исследований, существуют средства защиты. Это тяжелые свинцовые фартуки, воротники и пластины, которыми обязательно должен вас снабдить врач или лаборант перед диагностикой. Снизить риск от рентгена или компьютерной томографии можно также, разнеся исследования как можно дальше по времени. Эффект облучения может накапливаться и организму нужно давать срок на восстановление. Пытаться пройти диагностику всего тела за один день неразумно.
Как подготовиться к процедуре?
Еще один, волнующий родителей вопрос: “Как подготовить ребенка, в особенности дошкольника, к МРТ головного мозга и других частей тела?”. Прежде всего перед процедурой следует прекратить прием пищи. Для грудничков – как минимум за пару часов, у малышей более старшего возраста срок возрастает до 4-5 часов
Почему это важно? Дело в том, что волнение – а оно неизбежно – в некоторых случаях провоцирует рвоту. Если же планируется МРТ под наркозом, ребенку нельзя есть с вечера предыдущего дня
Родителям также следует обратить внимание на одежду, в которую они одевают ребенка. Не допускается наличие металлических деталей (заклепок или молний и др.)
Если ребенок носит серьги или крестик, их тоже требуется снять.
Отличия МРТ от компьютерной томографии
Среди медицинских услуг в области диагностики наряду с МРТ выделяют компьютерную томографию. Несмотря на то, что данные методы похожи, у них есть существенные отличия, влияющие на выбор врача.
Общие свойства магнитно-резонансной томографии и компьютерной:
- внешний вид оборудования;
- типы томографов (открытые и закрытые);
- сканирование осуществляется послойно, а изображение получается в трехмерной проекции;
- список ограничений для прохождения процедур практически идентичен.
Отличия между магнитно-резонансной и компьютерной томографией:
- способ воздействия на пациента: в случае с магнитно-резонансной диагностикой — магнитное поле и электромагнитные волны, а в КТ — рентгеновские лучи;
- компьютерная томография делается в более короткие сроки (как правило, несколько минут), а МРТ пояснично-крестцового отдела позвоночника занимает от 20 минут;
- КТ не разрешено беременным женщинам, в случае с магнитно-резонансной томографией не рекомендовано проведение процедуры в первом триместре;
- цель исследования: магнитно-резонансная томография более результативна при осмотре мягких тканей, сосудистой системы, органов, головного мозга, а компьютерная томография наиболее эффективна при оценке состояния костных структур, гематом;
- контрастное вещество, используемое при КТ содержит в своем составе йод, что зачастую вызывает аллергическую реакцию у пациентов, магнитно-резонансное исследование с контрастом основано на использовании гадолиния, который практически не вызывает аллергию;
- уровень доступности и стоимости: КТ более распространен, включая государственные медицинские учреждения, магнитно-резонансная томография встречается реже и в основном в частных клиниках. Магнитно-резонансная томография является более дорогостоящей услугой.
Пройти МРТ пояснично-крестцового отдела можно даже в государственной клинике за счет средств ОМС. Однако, желающих получить качественную услугу бесплатно слишком большое число и иногда приходится ждать очередь по полгода. Такое ожидание может затянуться, и пациент упустит шанс на выявление заболевания на ранней стадии.
Если нет желания и времени на изучение данных, можно позвонить по номеру телефона, указанному на сайте и озвучить требуемые параметры специалисту. Менеджер бесплатно подберет клинику, отвечающую запросам и осуществит запись на удобный день. На первый прием предоставляются скидки.
Техника проведения
Перед процедурой женщине необходимо снять с тела все металлические предметы — кольца, серьги, цепочки, браслеты или крестик. Затем пациентка ложится на исследовательский стол, который продвигается в тоннель томографа. Время проведения обследования — чуть более получаса (зависит от количества обследуемых зон). В течение всего обследования аппарат будет постукивать. Данные звуки иногда вызывают психологический дискомфорт. Если вы почувствовали ухудшение самочувствия, нажмите на специальный звонок. Имейте в виду, что двигаться во время процедуры нельзя, так что лучше сразу занять максимально комфортное положение.
МРТ головного мозга при беременности
Особенность этого вида диагностики состоит в том, что пациентке необязательно полностью погружаться в тоннель, так как есть возможность использовать открытый томограф, охватывающий только голову. МРТ головы при беременности позволяет диагностировать различные новообразования в мозге, проследить за состоянием сосудов, своевременно узнать о наличии аневризмы.
МРТ шейного отдела при беременности
Точно так же, как и предыдущий вид исследования, может быть проведена на аппарате открытого типа. В ходе процедуры обследуются сосуды шейного отдела позвоночника. На основании полученного результата врач может говорить о недостаточности мозгового кровообращения, размере лимфатических узлов и др.
МРТ плода при беременности
Диагностика проводится только в томографе закрытого типа. Магнитное поле воздействует на тазовую область. Делать МРТ малого таза можно при плановом контроле над протеканием беременности вместо классического УЗИ.
МРТ с контрастом при беременности
Контрастирующий препарат при проведении процедуры используется для того, чтобы индексировать патологические состояния тканей. Однако при беременности он практически всегда противопоказан.
Проведение диагностики
Процесс обследования проходит безболезненно. Врач во время диагностики находится в соседнем помещении. Специалист все время видит и слышит пациента, поэтому к врачу можно обратиться при необходимости. В процессе сканирования томограф издает щелчки и постукивания – это обычные проявления работы аппарата.
Исследование может длиться до часа, в течение которого нужно сохранять неподвижность. По завершении МРТ пациент получает снимки и заключение. Подготовка заключения обычно занимает около суток.
«ЕвроМед клиника» предоставляет возможность сделать МРТ позвоночника и его отделов в Новосибирске. Подробную информацию о ценах на разные виды МРТ можно посмотреть в разделе «Стоимость услуг».

























































